Phone:
+1 877 302 8632
Fax:
+1 888 205 9894 (Toll-free)
E-Mail:
orders@antibodies-online.com

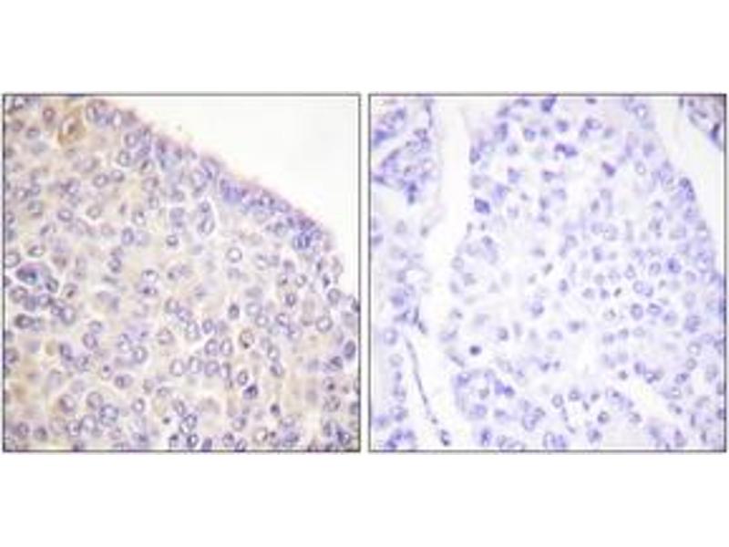
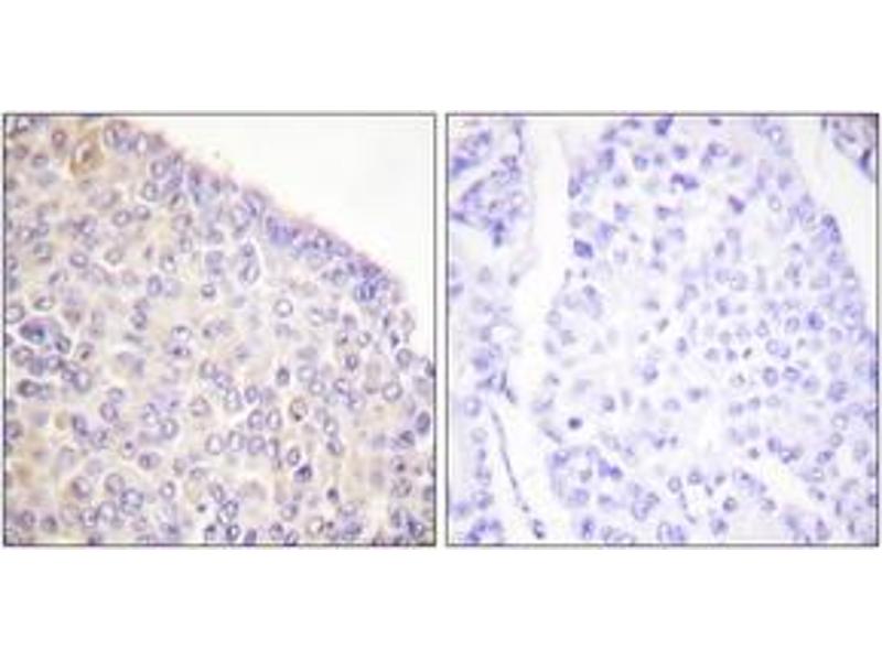
SYK antibody (pTyr525)

This Rabbit Polyclonal antibody specifically detects SYK in WB, ELISA and IHC. It exhibits reactivity toward Human, Mouse and Rat.
Catalog No. ABIN1531248
$341.00
Plus shipping costs $50.00
Shipping to: United States
Delivery in 2 to 4 Business Days

Quick Overview for SYK antibody (pTyr525) (ABIN1531248)

Target

See all SYK Antibodies
SYK (Spleen tyrosine Kinase (SYK))

Reactivity

  • 171
  • 87
  • 56
  • 10
  • 5
  • 4
  • 4
  • 3
  • 3
  • 1
  • 1
Human, Mouse, Rat

Host

  • 161
  • 16
  • 1
Rabbit

Clonality

  • 161
  • 17
Polyclonal

Conjugate

  • 102
  • 10
  • 8
  • 6
  • 4
  • 4
  • 4
  • 4
  • 4
  • 4
  • 3
  • 3
  • 2
  • 2
  • 2
  • 2
  • 2
  • 2
  • 2
  • 2
  • 2
  • 2
  • 2
This SYK antibody is un-conjugated

Application

  • 138
  • 73
  • 48
  • 22
  • 20
  • 20
  • 14
  • 14
  • 12
  • 7
  • 4
  • 3
  • 2
  • 2
  • 1
  • 1
  • 1
  • 1
Western Blotting (WB), ELISA, Immunohistochemistry (IHC)
  • Binding Specificity

    • 35
    • 30
    • 20
    • 14
    • 11
    • 8
    • 8
    • 8
    • 5
    • 4
    • 4
    • 4
    • 3
    • 3
    • 3
    • 3
    • 3
    • 2
    • 2
    • 2
    • 2
    • 2
    • 2
    • 2
    • 2
    • 1
    • 1
    • 1
    • 1
    • 1
    • 1
    • 1
    • 1
    • 1
    • 1
    • 1
    • 1
    • 1
    • 1
    • 1
    • 1
    • 1
    • 1
    • 1
    • 1
    • 1
    • 1
    • 1
    AA 491-540, pTyr525

    Specificity

    SYK (Phospho-Tyr525) Antibody detects endogenous levels of SYK only when phosphorylated at Tyr525.

    PhosphorylationH:Y525 M:Y519 R:Y519

    Purification

    The antibody was purified from rabbit antiserum by affinity-chromatography using phospho peptide. The antibody against non-phospho peptide was removed by chromatography using corresponding non-phospho peptide.

    Purity

    > 95 %

    Immunogen

    The antiserum was produced against synthesized peptide derived from human SYK around the phosphorylation site of Tyr525.

    Isotype

    IgG
  • Application Notes

    WB: 1:500~1:1000 IHC: 1:50~1:100 ELISA: 1:20000

    Comment

    Unigene-Number: Hs.371720 (NCBI Gene Symbol: SYK)

    Restrictions

    For Research Use only
  • Format

    Liquid

    Concentration

    1 mg/mL

    Buffer

    phosphate buffered saline (without Mg2+ and Ca2+), pH 7.4, 150 mM NaCl, 0.02 % sodium azide and 50 % glycerol.

    Preservative

    Sodium azide

    Precaution of Use

    This product contains sodium azide: a POISONOUS AND HAZARDOUS SUBSTANCE which should be handled by trained staff only.

    Storage

    -20 °C

    Storage Comment

    Stable at -20°C for at least 1 year.

    Expiry Date

    12 months
  • Target

    SYK (Spleen tyrosine Kinase (SYK))

    Alternative Name

    SYK

    Background

    Synonyms: Spleen tyrosine kinase, PROTEIN-TYROSINE KINASE SYK

    NCBI Gene Symbol: SYK

    Molecular Weight

    72 kDa

    Gene ID

    6850

    OMIM

    600085

    UniProt

    P43405

    Pathways

    Fc-epsilon Receptor Signaling Pathway, Regulation of Leukocyte Mediated Immunity, Positive Regulation of Immune Effector Process, Thromboxane A2 Receptor Signaling, BCR Signaling
You are here:
Chat with us!