Phone:
+1 877 302 8632
Fax:
+1 888 205 9894 (Toll-free)
E-Mail:
orders@antibodies-online.com

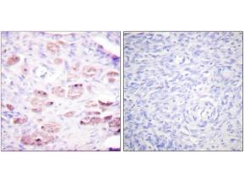
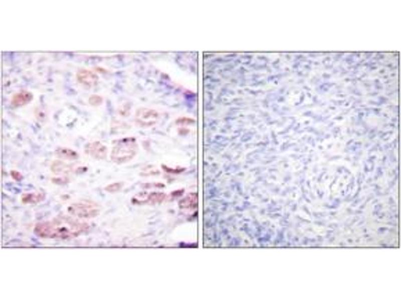
DAXX antibody (pSer668)

The Rabbit Polyclonal anti-DAXX antibody is suitable to detect DAXX in samples from Human. It has been validated for WB, ELISA and IHC.
Catalog No. ABIN1531267
$341.00
Plus shipping costs $50.00
Shipping to: United States
Delivery in 2 to 4 Business Days

Quick Overview for DAXX antibody (pSer668) (ABIN1531267)

Target

See all DAXX Antibodies
DAXX (Death-Domain Associated Protein (DAXX))

Reactivity

  • 169
  • 63
  • 52
  • 7
  • 2
  • 1
  • 1
  • 1
  • 1
  • 1
  • 1
  • 1
  • 1
Human

Host

  • 153
  • 17
Rabbit

Clonality

  • 131
  • 39
Polyclonal

Conjugate

  • 63
  • 8
  • 7
  • 7
  • 5
  • 5
  • 5
  • 5
  • 5
  • 5
  • 5
  • 5
  • 5
  • 5
  • 5
  • 4
  • 4
  • 4
  • 4
  • 4
  • 4
  • 3
  • 1
  • 1
  • 1
This DAXX antibody is un-conjugated

Application

  • 142
  • 65
  • 65
  • 39
  • 37
  • 34
  • 27
  • 24
  • 22
  • 16
  • 6
  • 3
  • 3
  • 2
  • 1
Western Blotting (WB), ELISA, Immunohistochemistry (IHC)
  • Binding Specificity

    • 23
    • 21
    • 16
    • 16
    • 15
    • 8
    • 4
    • 4
    • 3
    • 2
    • 2
    • 2
    • 2
    • 2
    • 2
    • 2
    • 1
    • 1
    • 1
    • 1
    • 1
    • 1
    • 1
    • 1
    • 1
    • 1
    • 1
    • 1
    • 1
    • 1
    AA 634-683, pSer668

    Specificity

    Daxx (Phospho-Ser668) Antibody detects endogenous levels of Daxx only when phosphorylated at Ser668.

    PhosphorylationH:S668

    Purification

    The antibody was purified from rabbit antiserum by affinity-chromatography using phospho peptide. The antibody against non-phospho peptide was removed by chromatography using corresponding non-phospho peptide.

    Purity

    > 95 %

    Immunogen

    The antiserum was produced against synthesized peptide derived from human Daxx around the phosphorylation site of Ser668.

    Isotype

    IgG
  • Application Notes

    WB: 1:500~1:1000 IHC: 1:50~1:100 ELISA: 1:10000

    Comment

    Unigene-Number: Hs.336916 (NCBI Gene Symbol: DAXX)

    Restrictions

    For Research Use only
  • Format

    Liquid

    Concentration

    1 mg/mL

    Buffer

    phosphate buffered saline (without Mg2+ and Ca2+), pH 7.4, 150 mM NaCl, 0.02 % sodium azide and 50 % glycerol.

    Preservative

    Sodium azide

    Precaution of Use

    This product contains sodium azide: a POISONOUS AND HAZARDOUS SUBSTANCE which should be handled by trained staff only.

    Storage

    -20 °C

    Storage Comment

    Stable at -20°C for at least 1 year.

    Expiry Date

    12 months
  • Target

    DAXX (Death-Domain Associated Protein (DAXX))

    Alternative Name

    Daxx

    Background

    Synonyms: BING2, Death domain-associated protein 6, EAP1, ETS1 associated protein 1, Fas DEATH domain- associated protein

    NCBI Gene Symbol: DAXX

    Molecular Weight

    81 kDa

    Gene ID

    1616

    OMIM

    603186

    UniProt

    Q9UER7

    Pathways

    Intracellular Steroid Hormone Receptor Signaling Pathway
You are here:
Chat with us!