MAPK14 antibody (pTyr182)
Quick Overview for MAPK14 antibody (pTyr182) (ABIN1531933)
Target
See all MAPK14 AntibodiesReactivity
Host
Clonality
Conjugate
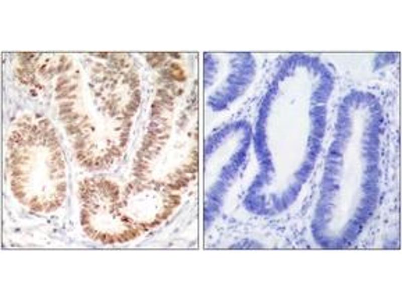
Application
-
-
Binding Specificity
- AA 147-196, pTyr182
-
Specificity
-
p38 MAPK (Phospho-Tyr182) Antibody detects endogenous levels of p38 MAPK only when phosphorylated at Tyr182.
PhosphorylationH:Y182 M:Y182 R:Y182
-
Purification
- The antibody was purified from rabbit antiserum by affinity-chromatography using phospho peptide. The antibody against non-phospho peptide was removed by chromatography using corresponding non-phospho peptide.
-
Purity
- > 95 %
-
Immunogen
- The antiserum was produced against synthesized peptide derived from human p38 MAPK around the phosphorylation site of Tyr182.
-
Isotype
- IgG
-
-
-
-
Application Notes
- WB: 1:500~1:1000 IHC: 1:50~1:100 ELISA: 1:10000
-
Comment
-
Unigene-Number: Hs.485233, Hs.588289 (NCBI Gene Symbol: MAPK14)
-
Restrictions
- For Research Use only
-
-
-
Format
- Liquid
-
Concentration
- 1 mg/mL
-
Buffer
- phosphate buffered saline (without Mg2+ and Ca2+), pH 7.4, 150 mM NaCl, 0.02 % sodium azide and 50 % glycerol.
-
Preservative
- Sodium azide
-
Precaution of Use
- This product contains sodium azide: a POISONOUS AND HAZARDOUS SUBSTANCE which should be handled by trained staff only.
-
Storage
- -20 °C
-
Storage Comment
- Stable at -20°C for at least 1 year.
-
Expiry Date
- 12 months
-
-
- MAPK14 (Mitogen-Activated Protein Kinase 14 (MAPK14))
-
Alternative Name
- p38 MAPK
-
Background
-
Synonyms: protein, kinase p38-alpha, MAP kinase MXI2, MAP kinase p38, MAPK14, MAX-interacting protein 2, Mitogen-activated protein kinase 14, Mitogen-activated protein kinase p38, MK14, MXI2
NCBI Gene Symbol: MAPK14
-
Molecular Weight
- 41 kDa
-
Gene ID
- 1432
-
OMIM
- 600289
-
UniProt
- Q16539
-
Pathways
- MAPK Signaling, Neurotrophin Signaling Pathway, Activation of Innate immune Response, Cellular Response to Molecule of Bacterial Origin, Regulation of Muscle Cell Differentiation, Regulation of Cell Size, Hepatitis C, Toll-Like Receptors Cascades, Autophagy, Thromboxane A2 Receptor Signaling, BCR Signaling, S100 Proteins
Target
-