Phone:
+1 877 302 8632
Fax:
+1 888 205 9894 (Toll-free)
E-Mail:
orders@antibodies-online.com

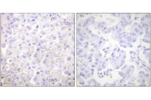
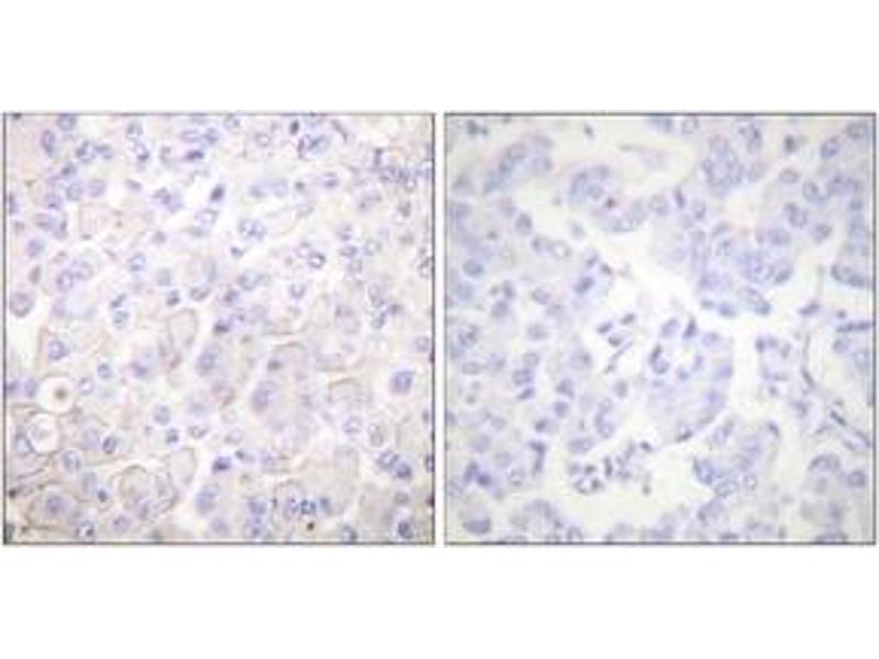
Cadherin antibody (AA 833-882)

This Rabbit Polyclonal antibody specifically detects Cadherin in WB, IHC and ELISA. It exhibits reactivity toward Human, Mouse and Rat.
Catalog No. ABIN1533230
$341.00
Plus shipping costs $50.00
Shipping to: United States
Delivery in 2 to 4 Business Days

Quick Overview for Cadherin antibody (AA 833-882) (ABIN1533230)

Target

Cadherin

Reactivity

  • 42
  • 40
  • 24
  • 9
  • 7
  • 4
  • 3
  • 1
  • 1
Human, Mouse, Rat

Host

  • 40
  • 4
Rabbit

Clonality

  • 23
  • 21
Polyclonal

Conjugate

  • 9
  • 3
  • 2
  • 2
  • 2
  • 2
  • 2
  • 2
  • 2
  • 2
  • 1
  • 1
  • 1
  • 1
  • 1
  • 1
  • 1
  • 1
  • 1
  • 1
  • 1
  • 1
  • 1
  • 1
  • 1
  • 1
This Cadherin antibody is un-conjugated

Application

  • 41
  • 24
  • 24
  • 21
  • 19
  • 14
  • 13
  • 9
  • 8
  • 5
  • 3
Western Blotting (WB), Immunohistochemistry (IHC), ELISA
  • Binding Specificity

    • 16
    • 8
    • 2
    • 2
    • 1
    AA 833-882

    Specificity

    Cadherin-pan Antibody detects endogenous levels of total Cadherin protein.

    Purification

    The antibody was purified from rabbit antiserum by affinity-chromatography using immunogen.

    Purity

    > 95 %

    Immunogen

    The antiserum was produced against synthesized peptide derived from human Cadherin.

    Isotype

    IgG
  • Application Notes

    WB: 1:500~1:1000 IHC: 1:50~1:100 ELISA: 1:20000

    Comment

    Unigene-Number: Hs.461086, Hs.464829, Hs.606106Hs., Hs.191842., Hs.473231. Hs.598638. (NCBI Gene Symbol: CDH1)

    Restrictions

    For Research Use only
  • Format

    Liquid

    Concentration

    1 mg/mL

    Buffer

    phosphate buffered saline (without Mg2+ and Ca2+), pH 7.4, 150 mM NaCl, 0.02 % sodium azide and 50 % glycerol.

    Preservative

    Sodium azide

    Precaution of Use

    This product contains sodium azide: a POISONOUS AND HAZARDOUS SUBSTANCE which should be handled by trained staff only.

    Storage

    -20 °C

    Storage Comment

    Stable at -20°C for at least 1 year.

    Expiry Date

    12 months
  • Target

    Cadherin

    Background

    Synonyms: Cadherin-1, CAM 120/80, Epithelial cadherin, E-cadherin, Uvomorulin, CD324, E-Cad/CTF1, E-Cad/CTF2, E-Cad/CTF3 CDH1 , CDHE, UVO

    NCBI Gene Symbol: CDH1

    Molecular Weight

    97 kDa

    Gene ID

    999, 1000, 1001

    OMIM

    137215

    UniProt

    P12830, P19022, P22223, P55283
You are here:
Chat with us!