Phone:
+1 877 302 8632
Fax:
+1 888 205 9894 (Toll-free)
E-Mail:
orders@antibodies-online.com

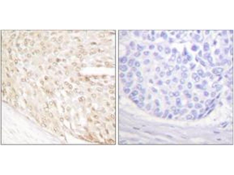
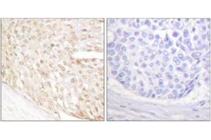
P18 INK antibody (AA 111-160)

This Rabbit Polyclonal antibody specifically detects P18 INK in IHC, ELISA and WB. It exhibits reactivity toward Human and Mouse.
Catalog No. ABIN1533366
$341.00
Plus shipping costs $50.00
Shipping to: United States
Delivery in 2 to 4 Business Days

Quick Overview for P18 INK antibody (AA 111-160) (ABIN1533366)

Target

P18 INK

Reactivity

  • 11
  • 10
  • 8
Human, Mouse

Host

  • 11
Rabbit

Clonality

  • 11
Polyclonal

Conjugate

  • 4
  • 1
  • 1
  • 1
  • 1
  • 1
  • 1
  • 1
This P18 INK antibody is un-conjugated

Application

  • 4
  • 4
  • 4
  • 2
  • 2
Immunohistochemistry (IHC), ELISA, Western Blotting (WB)
  • Binding Specificity

    AA 111-160

    Specificity

    p18 INK Antibody detects endogenous levels of total p18 INK protein.

    Purification

    The antibody was purified from rabbit antiserum by affinity-chromatography using immunogen.

    Purity

    > 95 %

    Immunogen

    The antiserum was produced against synthesized peptide derived from human p18 INK.

    Isotype

    IgG
  • Application Notes

    WB: 1:500~1:1000 IHC: 1:50~1:100 ELISA: 1:5000

    Comment

    Unigene-Number: Hs.525324 (NCBI Gene Symbol: CDKN2C)

    Restrictions

    For Research Use only
  • Format

    Liquid

    Concentration

    1 mg/mL

    Buffer

    phosphate buffered saline (without Mg2+ and Ca2+), pH 7.4, 150 mM NaCl, 0.02 % sodium azide and 50 % glycerol.

    Preservative

    Sodium azide

    Precaution of Use

    This product contains sodium azide: a POISONOUS AND HAZARDOUS SUBSTANCE which should be handled by trained staff only.

    Storage

    -20 °C

    Storage Comment

    Stable at -20°C for at least 1 year.

    Expiry Date

    12 months
  • Target

    P18 INK

    Background

    Synonyms: OTTHUMP00000046546, p18(INK4C), p18-INK4C, CDK6 inhibitor p18, cyclin-dependent inhibitor, cyclin-dependent kinase 4 inhibitor C, cyclin-dependent kinase 6 inhibitor p18, cyclin-dependent kinase inhibitor 2C (p18, inhibits CDK4)

    NCBI Gene Symbol: CDKN2C

    Molecular Weight

    18 kDa

    Gene ID

    1031

    OMIM

    603369

    UniProt

    P42773
You are here:
Chat with us!