Phone:
+1 877 302 8632
Fax:
+1 888 205 9894 (Toll-free)
E-Mail:
orders@antibodies-online.com

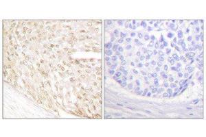
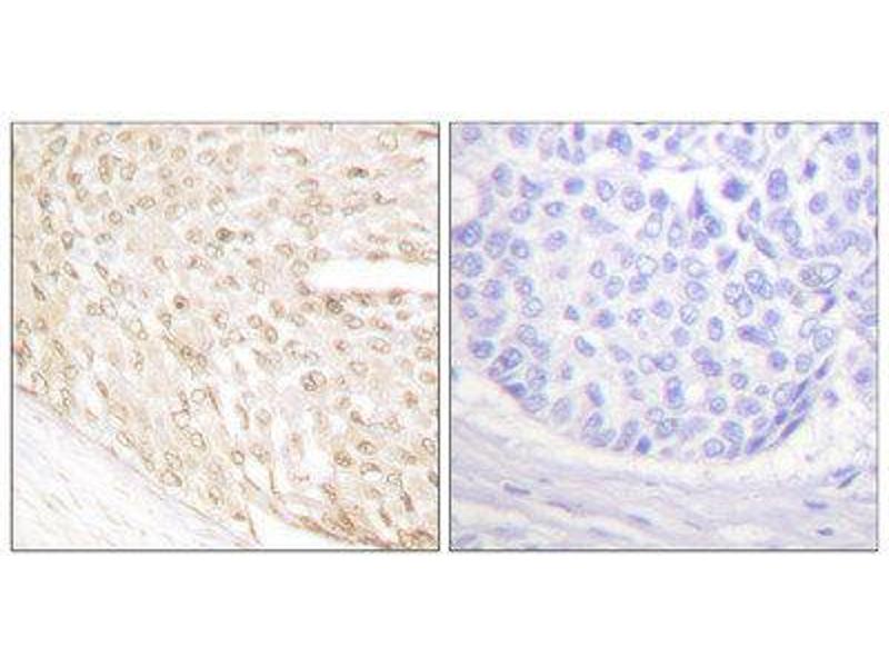
P18 INK antibody (C-Term)

The Rabbit Polyclonal anti-P18 INK antibody (ABIN1848714) specifically detects P18 INK in IHC, ELISA and WB. The antibody is reactive with Human and Mouse samples.
Catalog No. ABIN1848714
$418.76
Plus shipping costs $50.00
Shipping to: United States
Delivery in 10 to 18 Business Days

Quick Overview for P18 INK antibody (C-Term) (ABIN1848714)

Target

P18 INK

Reactivity

  • 11
  • 10
  • 8
Human, Mouse

Host

  • 11
Rabbit

Clonality

  • 11
Polyclonal

Conjugate

  • 4
  • 1
  • 1
  • 1
  • 1
  • 1
  • 1
  • 1
This P18 INK antibody is un-conjugated

Application

  • 4
  • 4
  • 4
  • 2
  • 2
Immunohistochemistry (IHC), ELISA, Western Blotting (WB)
  • Binding Specificity

    C-Term

    Specificity

    Rabbit polyclonal antibody against p18 INK protein.

    Purification

    The antibody was affinity-purified from rabbit antiserum by affinity-chromatography using epitope-specific immunogen

    Immunogen

    The antiserum was produced against synthesized peptide derived from C-terminal of human p18 INK antibody.
  • Restrictions

    For Research Use only
  • Storage

    -20 °C

    Storage Comment

    Aliquot and store at -20 °C. Avoid repeated freeze/thaw cycles.
  • Target

    P18 INK

    UniProt

    P42773
You are here:
Chat with us!