TGFB3 antibody (AA 261-310)
Quick Overview for TGFB3 antibody (AA 261-310) (ABIN1533414)
Target
See all TGFB3 AntibodiesReactivity
Host
Clonality
Conjugate
Application
-
-
Binding Specificity
- AA 261-310
-
Specificity
-
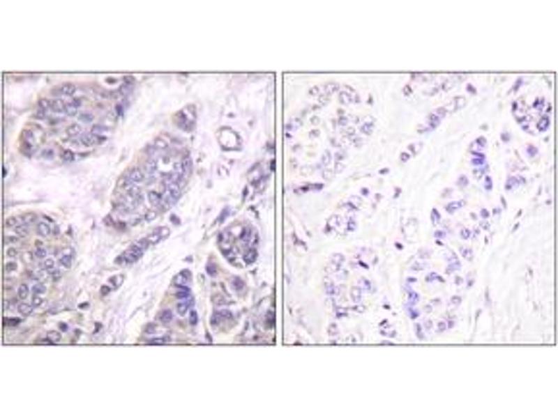
TGF beta3 Antibody detects endogenous levels of total TGF beta3 protein.
-
Purification
- The antibody was purified from rabbit antiserum by affinity-chromatography using immunogen.
-
Purity
- > 95 %
-
Immunogen
- The antiserum was produced against synthesized peptide derived from human TGF beta3.
-
Isotype
- IgG
-
-
-
-
Application Notes
- WB: 1:500~1:1000 IHC: 1:50~1:100 ELISA: 1:10000
-
Comment
-
Unigene-Number: Hs.592317 (NCBI Gene Symbol: TGFB3)
-
Restrictions
- For Research Use only
-
-
-
Format
- Liquid
-
Concentration
- 1 mg/mL
-
Buffer
- phosphate buffered saline (without Mg2+ and Ca2+), pH 7.4, 150 mM NaCl, 0.02 % sodium azide and 50 % glycerol.
-
Preservative
- Sodium azide
-
Precaution of Use
- This product contains sodium azide: a POISONOUS AND HAZARDOUS SUBSTANCE which should be handled by trained staff only.
-
Storage
- -20 °C
-
Storage Comment
- Stable at -20°C for at least 1 year.
-
Expiry Date
- 12 months
-
-
- TGFB3 (Transforming Growth Factor, beta 3 (TGFB3))
-
Alternative Name
- TGF Beta3
-
Background
-
Synonyms: TRANSFORMING GROWTH FACTOR, BETA-3, TGF-beta-3
NCBI Gene Symbol: TGFB3
-
Molecular Weight
- 47 kDa
-
Gene ID
- 7043
-
OMIM
- 107970
-
UniProt
- P10600
-
Pathways
- Cell-Cell Junction Organization, Production of Molecular Mediator of Immune Response, Protein targeting to Nucleus
Target
-