Phone:
+1 877 302 8632
Fax:
+1 888 205 9894 (Toll-free)
E-Mail:
orders@antibodies-online.com

AKAP8 antibody (AA 331-380)

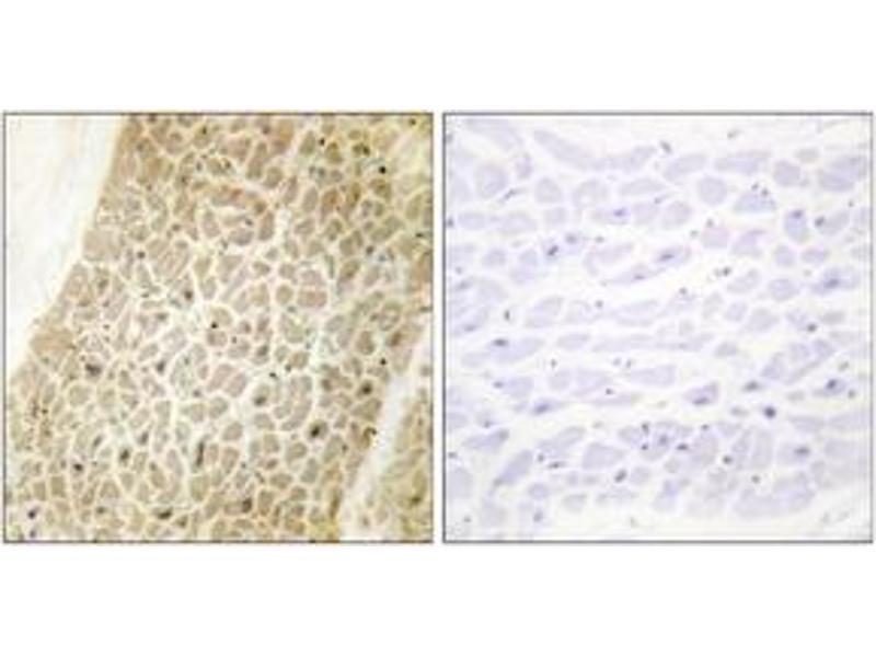
The Rabbit Polyclonal anti-AKAP8 antibody (ABIN1533512) specifically detects AKAP8 in WB, IHC, IF and ELISA. The antibody is reactive with Human, Mouse and Rat samples.
Catalog No. ABIN1533512
$341.00
Plus shipping costs $50.00
Shipping to: United States
Delivery in 2 to 4 Business Days

Quick Overview for AKAP8 antibody (AA 331-380) (ABIN1533512)

Target

See all AKAP8 Antibodies
AKAP8 (A Kinase (PRKA) Anchor Protein 8 (AKAP8))

Reactivity

  • 68
  • 28
  • 25
  • 6
  • 5
  • 4
  • 3
  • 2
  • 1
  • 1
Human, Mouse, Rat

Host

  • 63
  • 4
  • 1
Rabbit

Clonality

  • 54
  • 14
Polyclonal

Conjugate

  • 38
  • 3
  • 2
  • 2
  • 2
  • 2
  • 2
  • 2
  • 1
  • 1
  • 1
  • 1
  • 1
  • 1
  • 1
  • 1
  • 1
  • 1
  • 1
  • 1
  • 1
  • 1
  • 1
This AKAP8 antibody is un-conjugated

Application

  • 43
  • 24
  • 21
  • 15
  • 14
  • 13
  • 12
  • 7
  • 6
  • 3
  • 2
  • 1
  • 1
Western Blotting (WB), Immunohistochemistry (IHC), Immunofluorescence (IF), ELISA
  • Binding Specificity

    • 15
    • 4
    • 4
    • 3
    • 3
    • 2
    • 2
    • 2
    • 1
    • 1
    • 1
    • 1
    • 1
    • 1
    • 1
    • 1
    • 1
    • 1
    • 1
    AA 331-380

    Specificity

    AKAP8 Antibody detects endogenous levels of total AKAP8 protein.

    Purification

    The antibody was purified from rabbit antiserum by affinity-chromatography using immunogen.

    Purity

    > 95 %

    Immunogen

    The antiserum was produced against synthesized peptide derived from human AKAP8.

    Isotype

    IgG
  • Application Notes

    WB: 1:500~1:1000 IHC: 1:50~1:100 IF: 1:100~1:500 ELISA: 1:20000

    Comment

    Unigene-Number: Hs.724653 (NCBI Gene Symbol: AKAP8)

    Restrictions

    For Research Use only
  • Format

    Liquid

    Concentration

    1 mg/mL

    Buffer

    phosphate buffered saline (without Mg2+ and Ca2+), pH 7.4, 150 mM NaCl, 0.02 % sodium azide and 50 % glycerol.

    Preservative

    Sodium azide

    Precaution of Use

    This product contains sodium azide: a POISONOUS AND HAZARDOUS SUBSTANCE which should be handled by trained staff only.

    Storage

    -20 °C

    Storage Comment

    Stable at -20°C for at least 1 year.

    Expiry Date

    12 months
  • Target

    AKAP8 (A Kinase (PRKA) Anchor Protein 8 (AKAP8))

    Alternative Name

    AKAP8

    Background

    Synonyms: A-kinase anchor protein 8, A-kinase anchor protein 95 kDa, AKA8, AKAP 95, AKAP95

    NCBI Gene Symbol: AKAP8

    Molecular Weight

    76 kDa

    Gene ID

    10270

    OMIM

    604692

    UniProt

    O43823

    Pathways

    SARS-CoV-2 Protein Interactome
You are here:
Chat with us!