Phone:
+1 877 302 8632
Fax:
+1 888 205 9894 (Toll-free)
E-Mail:
orders@antibodies-online.com

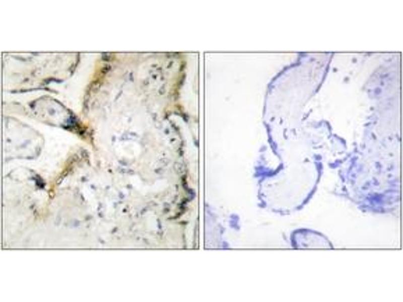
Laminin antibody (AA 2011-2060)

This Rabbit Polyclonal antibody specifically detects Laminin in ELISA, IHC and IF. It exhibits reactivity toward Human and Mouse.
Catalog No. ABIN1534452
$341.00
Plus shipping costs $50.00
Shipping to: United States
Delivery in 2 to 4 Business Days

Quick Overview for Laminin antibody (AA 2011-2060) (ABIN1534452)

Target

See all Laminin (LAMA2) Antibodies
Laminin (LAMA2) (Laminin, alpha 2 (LAMA2))

Reactivity

  • 34
  • 26
  • 17
  • 16
  • 15
  • 1
  • 1
Human, Mouse

Host

  • 32
  • 2
  • 1
Rabbit

Clonality

  • 31
  • 3
  • 1
Polyclonal

Conjugate

  • 11
  • 3
  • 2
  • 2
  • 1
  • 1
  • 1
  • 1
  • 1
  • 1
  • 1
  • 1
  • 1
  • 1
  • 1
  • 1
  • 1
  • 1
  • 1
  • 1
  • 1
This Laminin antibody is un-conjugated

Application

  • 13
  • 13
  • 12
  • 7
  • 5
  • 5
  • 4
  • 4
  • 3
  • 2
  • 1
ELISA, Immunohistochemistry (IHC), Immunofluorescence (IF)
  • Binding Specificity

    • 15
    • 5
    • 2
    • 1
    • 1
    • 1
    • 1
    AA 2011-2060

    Specificity

    LAMA2 Antibody detects endogenous levels of total LAMA2 protein.

    Purification

    The antibody was purified from rabbit antiserum by affinity-chromatography using immunogen.

    Purity

    > 95 %

    Immunogen

    The antiserum was produced against synthesized peptide derived from human LAMA2.

    Isotype

    IgG
  • Application Notes

    IHC: 1:50~1:100 IF: 1:100~1:500 ELISA: 1:20000

    Comment

    Unigene-Number: Hs.200841 (NCBI Gene Symbol: LAMA2)

    Restrictions

    For Research Use only
  • Format

    Liquid

    Concentration

    1 mg/mL

    Buffer

    phosphate buffered saline (without Mg2+ and Ca2+), pH 7.4, 150 mM NaCl, 0.02 % sodium azide and 50 % glycerol.

    Preservative

    Sodium azide

    Precaution of Use

    This product contains sodium azide: a POISONOUS AND HAZARDOUS SUBSTANCE which should be handled by trained staff only.

    Storage

    -20 °C

    Storage Comment

    Stable at -20°C for at least 1 year.

    Expiry Date

    12 months
  • Target

    Laminin (LAMA2) (Laminin, alpha 2 (LAMA2))

    Alternative Name

    LAMA2

    Background

    Synonyms: Laminin subunit alpha-2, Laminin M chain, Merosin heavy chain, LAMA2, LAMM

    NCBI Gene Symbol: LAMA2

    Molecular Weight

    342 kDa

    Gene ID

    3908

    OMIM

    156225

    UniProt

    P24043
You are here:
Chat with us!