MRPS18C antibody (AA 71-120)
Quick Overview for MRPS18C antibody (AA 71-120) (ABIN1534508)
Target
See all MRPS18C AntibodiesReactivity
Host
Clonality
Conjugate
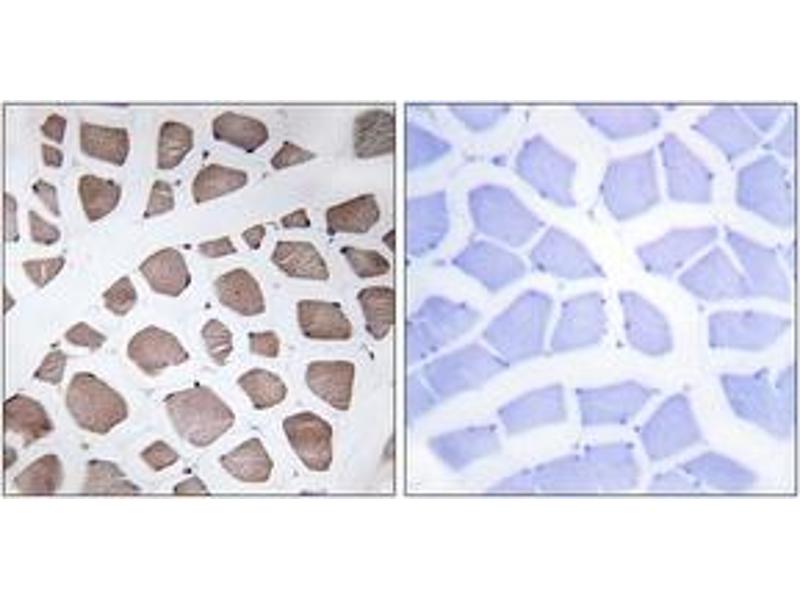
Application
-
-
Binding Specificity
- AA 71-120
-
Specificity
-
MRPS18C Antibody detects endogenous levels of total MRPS18C protein.
-
Purification
- The antibody was purified from rabbit antiserum by affinity-chromatography using immunogen.
-
Purity
- > 95 %
-
Immunogen
- The antiserum was produced against synthesized peptide derived from human MRPS18C.
-
Isotype
- IgG
-
-
-
-
Application Notes
- WB: 1:500~1:1000 IHC: 1:50~1:100 IF: 1:100~1:500 ELISA: 1:40000
-
Comment
-
Unigene-Number: Hs.334772, Hs.436161 (NCBI Gene Symbol: MRPS18C)
-
Restrictions
- For Research Use only
-
-
-
Format
- Liquid
-
Concentration
- 1 mg/mL
-
Buffer
- phosphate buffered saline (without Mg2+ and Ca2+), pH 7.4, 150 mM NaCl, 0.02 % sodium azide and 50 % glycerol.
-
Preservative
- Sodium azide
-
Precaution of Use
- This product contains sodium azide: a POISONOUS AND HAZARDOUS SUBSTANCE which should be handled by trained staff only.
-
Storage
- -20 °C
-
Storage Comment
- Stable at -20°C for at least 1 year.
-
Expiry Date
- 12 months
-
-
- MRPS18C (Mitochondrial Ribosomal Protein S18C (MRPS18C))
-
Alternative Name
- MRPS18C
-
Background
-
Synonyms: 28S ribosomal protein S18c, mitochondrial, MRP-S18-c, Mrps18c, MRP-S18-1
NCBI Gene Symbol: MRPS18C
-
Molecular Weight
- 15 kDa
-
Gene ID
- 51023
-
OMIM
- 611983
-
UniProt
- Q9Y3D5
Target
-