NCAPG2 antibody (AA 561-610)
Quick Overview for NCAPG2 antibody (AA 561-610) (ABIN1534799)
Target
See all NCAPG2 AntibodiesReactivity
Host
Clonality
Conjugate
Application
-
-
Binding Specificity
- AA 561-610
-
Specificity
-
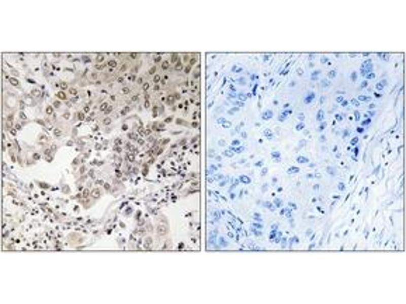
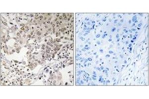
NCAPG2 Antibody detects endogenous levels of total NCAPG2 protein.
-
Purification
- The antibody was purified from rabbit antiserum by affinity-chromatography using immunogen.
-
Purity
- > 95 %
-
Immunogen
- The antiserum was produced against synthesized peptide derived from human NCAPG2.
-
Isotype
- IgG
-
-
-
-
Application Notes
- IHC: 1:50~1:100 ELISA: 1:40000
-
Comment
-
Unigene-Number: Hs.18616 (NCBI Gene Symbol: NCAPG2)
-
Restrictions
- For Research Use only
-
-
-
Format
- Liquid
-
Concentration
- 1 mg/mL
-
Buffer
- phosphate buffered saline (without Mg2+ and Ca2+), pH 7.4, 150 mM NaCl, 0.02 % sodium azide and 50 % glycerol.
-
Preservative
- Sodium azide
-
Precaution of Use
- This product contains sodium azide: a POISONOUS AND HAZARDOUS SUBSTANCE which should be handled by trained staff only.
-
Storage
- -20 °C
-
Storage Comment
- Stable at -20°C for at least 1 year.
-
Expiry Date
- 12 months
-
-
- NCAPG2 (Non-SMC Condensin II Complex, Subunit G2 (NCAPG2))
-
Alternative Name
- NCAPG2
-
Background
-
Synonyms: CAP-G2, CNDG2, condensin-II G2, leucine zipper protein 5, more than blood, MTB, non-SMC condensin II complex subunit G2
NCBI Gene Symbol: NCAPG2
-
Molecular Weight
- 130 kDa
-
Gene ID
- 54892
-
OMIM
- 608532
-
UniProt
- Q86XI2
Target
-