TUFM antibody (AA 301-350)
Quick Overview for TUFM antibody (AA 301-350) (ABIN1534881)
Target
See all TUFM (Tufm) AntibodiesReactivity
Host
Clonality
Conjugate
Application
-
-
Binding Specificity
- AA 301-350
-
Specificity
-
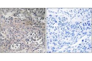
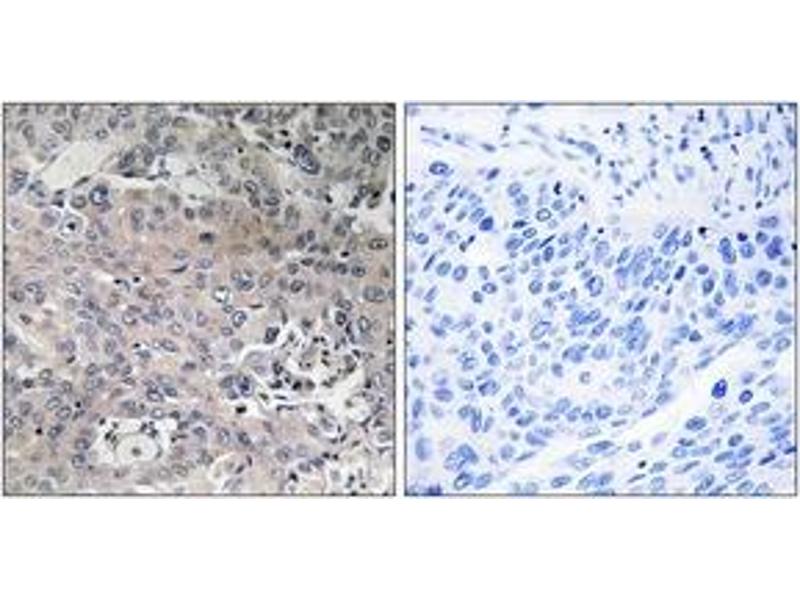
TUFM Antibody detects endogenous levels of total TUFM protein.
-
Purification
- The antibody was purified from rabbit antiserum by affinity-chromatography using immunogen.
-
Purity
- > 95 %
-
Immunogen
- The antiserum was produced against synthesized peptide derived from human TUFM.
-
Isotype
- IgG
-
-
-
-
Application Notes
- IHC: 1:50~1:100 ELISA: 1:40000
-
Comment
-
Unigene-Number: Hs.12084 (NCBI Gene Symbol: EFTU)
-
Restrictions
- For Research Use only
-
-
-
Format
- Liquid
-
Concentration
- 1 mg/mL
-
Buffer
- phosphate buffered saline (without Mg2+ and Ca2+), pH 7.4, 150 mM NaCl, 0.02 % sodium azide and 50 % glycerol.
-
Preservative
- Sodium azide
-
Precaution of Use
- This product contains sodium azide: a POISONOUS AND HAZARDOUS SUBSTANCE which should be handled by trained staff only.
-
Storage
- -20 °C
-
Storage Comment
- Stable at -20°C for at least 1 year.
-
Expiry Date
- 12 months
-
-
- TUFM (Tufm) (Tu Translation Elongation Factor, Mitochondrial (Tufm))
-
Alternative Name
- TUFM
-
Background
-
Synonyms: Elongation factor Tu, mitochondrial,EF-Tu, P43
NCBI Gene Symbol: EFTU
-
Molecular Weight
- 49 kDa
-
Gene ID
- 7284
-
OMIM
- 602389
-
UniProt
- P49411
Target
-