Phone:
+1 877 302 8632
Fax:
+1 888 205 9894 (Toll-free)
E-Mail:
orders@antibodies-online.com

GUF1 antibody (AA 421-470)

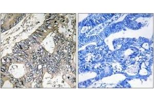
The Rabbit Polyclonal anti-GUF1 antibody (ABIN1534964) specifically detects GUF1 in ELISA and IHC. The antibody is reactive with Human samples.
Catalog No. ABIN1534964
$341.00
Plus shipping costs $50.00
Shipping to: United States
Delivery in 2 to 4 Business Days

Quick Overview for GUF1 antibody (AA 421-470) (ABIN1534964)

Target

See all GUF1 Antibodies
GUF1 (GUF1 GTPase Homolog (GUF1))

Reactivity

  • 26
  • 12
  • 2
  • 2
  • 2
  • 2
  • 2
  • 1
  • 1
  • 1
  • 1
  • 1
  • 1
Human

Host

  • 26
Rabbit

Clonality

  • 26
Polyclonal

Conjugate

  • 14
  • 2
  • 1
  • 1
  • 1
  • 1
  • 1
  • 1
  • 1
  • 1
  • 1
  • 1
This GUF1 antibody is un-conjugated

Application

  • 17
  • 12
  • 11
  • 4
  • 2
  • 1
  • 1
  • 1
ELISA, Immunohistochemistry (IHC)
  • Binding Specificity

    • 8
    • 3
    • 2
    • 2
    • 1
    • 1
    • 1
    AA 421-470

    Specificity

    GUF1 Antibody detects endogenous levels of total GUF1 protein.

    Purification

    The antibody was purified from rabbit antiserum by affinity-chromatography using immunogen.

    Purity

    > 95 %

    Immunogen

    The antiserum was produced against synthesized peptide derived from human GUF1.

    Isotype

    IgG
  • Application Notes

    IHC: 1:50~1:100 ELISA: 1:20000

    Comment

    Unigene-Number: Hs.546419 (NCBI Gene Symbol: GUF1)

    Restrictions

    For Research Use only
  • Format

    Liquid

    Concentration

    1 mg/mL

    Buffer

    phosphate buffered saline (without Mg2+ and Ca2+), pH 7.4, 150 mM NaCl, 0.02 % sodium azide and 50 % glycerol.

    Preservative

    Sodium azide

    Precaution of Use

    This product contains sodium azide: a POISONOUS AND HAZARDOUS SUBSTANCE which should be handled by trained staff only.

    Storage

    -20 °C

    Storage Comment

    Stable at -20°C for at least 1 year.

    Expiry Date

    12 months
  • Target

    GUF1 (GUF1 GTPase Homolog (GUF1))

    Alternative Name

    GUF1

    Background

    Synonyms: GTP-binding protein GUF1 homolog

    NCBI Gene Symbol: GUF1

    Molecular Weight

    74 kDa

    Gene ID

    60558

    UniProt

    Q8N442
You are here:
Chat with us!