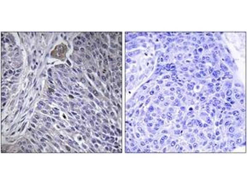
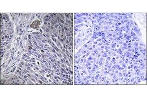
HNRPDL antibody (AA 241-290)
Quick Overview for HNRPDL antibody (AA 241-290) (ABIN1534975)
Target
See all HNRPDL AntibodiesReactivity
Host
Clonality
Conjugate
Application
-
-
Binding Specificity
- AA 241-290
-
Specificity
-
HNRPDL Antibody detects endogenous levels of total HNRPDL protein.
-
Purification
- The antibody was purified from rabbit antiserum by affinity-chromatography using immunogen.
-
Purity
- > 95 %
-
Immunogen
- The antiserum was produced against synthesized peptide derived from human HNRPDL.
-
Isotype
- IgG
-
-
-
-
Application Notes
- IHC: 1:50~1:100 ELISA: 1:1000
-
Comment
-
Unigene-Number: Hs.527105 (NCBI Gene Symbol: HNRDL)
-
Restrictions
- For Research Use only
-
-
-
Format
- Liquid
-
Concentration
- 1 mg/mL
-
Buffer
- phosphate buffered saline (without Mg2+ and Ca2+), pH 7.4, 150 mM NaCl, 0.02 % sodium azide and 50 % glycerol.
-
Preservative
- Sodium azide
-
Precaution of Use
- This product contains sodium azide: a POISONOUS AND HAZARDOUS SUBSTANCE which should be handled by trained staff only.
-
Storage
- -20 °C
-
Storage Comment
- Stable at -20°C for at least 1 year.
-
Expiry Date
- 12 months
-
-
- HNRPDL (Heterogeneous Nuclear Ribonucleoprotein D-Like (HNRPDL))
-
Alternative Name
- HNRPDL
-
Background
-
Synonyms: Heterogeneous nuclear ribonucleoprotein D-like,hnRPD-like protein, hnHNRP-DL, JKT41-binding protein, AU-rich element RNA-binding factor, Protein laAUF1,
NCBI Gene Symbol: HNRDL
-
Molecular Weight
- 46 kDa
-
Gene ID
- 9987
-
OMIM
- 607137
-
UniProt
- O14979
Target
-