RAB11FIP3 antibody (AA 569-618)
Quick Overview for RAB11FIP3 antibody (AA 569-618) (ABIN1535247)
Target
See all RAB11FIP3 AntibodiesReactivity
Host
Clonality
Conjugate
Application
-
-
Binding Specificity
- AA 569-618
-
Specificity
-
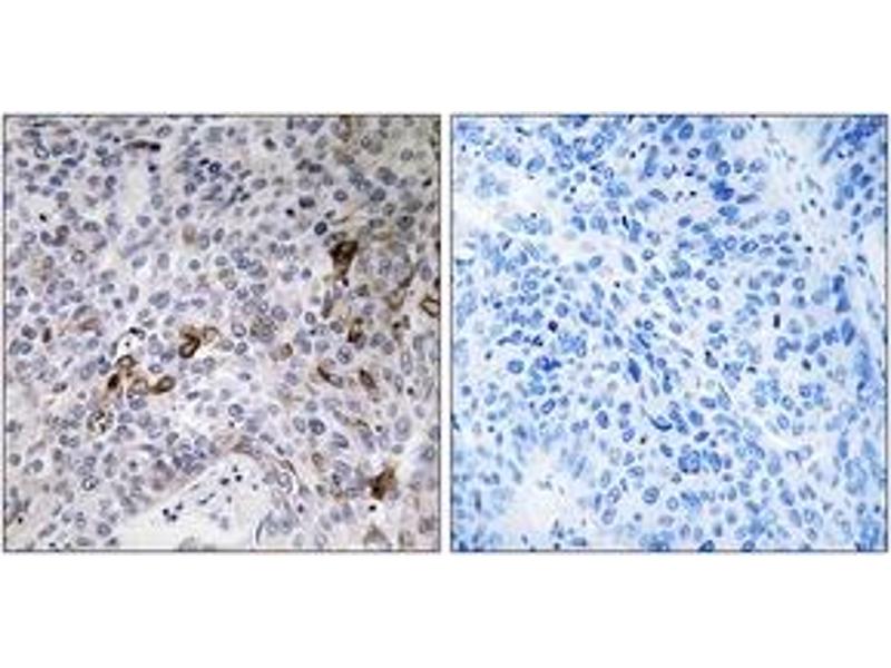
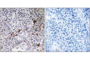
RAB11FIP3 Antibody detects endogenous levels of total RAB11FIP3 protein.
-
Purification
- The antibody was purified from rabbit antiserum by affinity-chromatography using immunogen.
-
Purity
- > 95 %
-
Immunogen
- The antiserum was produced against synthesized peptide derived from human RAB11FIP3.
-
Isotype
- IgG
-
-
-
-
Application Notes
- IHC: 1:50~1:100 ELISA: 1:10000
-
Comment
-
Unigene-Number: Hs.531642 (NCBI Gene Symbol: RAB11FIP3)
-
Restrictions
- For Research Use only
-
-
-
Format
- Liquid
-
Concentration
- 1 mg/mL
-
Buffer
- phosphate buffered saline (without Mg2+ and Ca2+), pH 7.4, 150 mM NaCl, 0.02 % sodium azide and 50 % glycerol.
-
Preservative
- Sodium azide
-
Precaution of Use
- This product contains sodium azide: a POISONOUS AND HAZARDOUS SUBSTANCE which should be handled by trained staff only.
-
Storage
- -20 °C
-
Storage Comment
- Stable at -20°C for at least 1 year.
-
Expiry Date
- 12 months
-
-
- RAB11FIP3 (RAB11 Family Interacting Protein 3 (Class II) (RAB11FIP3))
-
Alternative Name
- RAB11FIP3
-
Background
-
Synonyms: Rab11-FIP3, EF hands-containing Rab-interacting protein, Eferin
NCBI Gene Symbol: RAB11FIP3
-
Molecular Weight
- 82 kDa
-
Gene ID
- 9727
-
OMIM
- 608738
-
UniProt
- O75154
Target
-