SH2D1B antibody (AA 71-120)
Quick Overview for SH2D1B antibody (AA 71-120) (ABIN1535361)
Target
See all SH2D1B AntibodiesReactivity
Host
Clonality
Conjugate
Application
-
-
Binding Specificity
- AA 71-120
-
Specificity
-
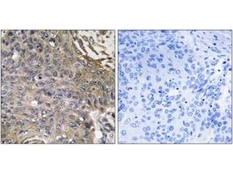
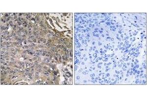
SH2D1B Antibody detects endogenous levels of total SH2D1B protein.
-
Purification
- The antibody was purified from rabbit antiserum by affinity-chromatography using immunogen.
-
Purity
- > 95 %
-
Immunogen
- The antiserum was produced against synthesized peptide derived from human SH2D1B.
-
Isotype
- IgG
-
-
-
-
Application Notes
- IHC: 1:50~1:100 ELISA: 1:40000
-
Comment
-
Unigene-Number: Hs.350581 (NCBI Gene Symbol: SH2D1B)
-
Restrictions
- For Research Use only
-
-
-
Format
- Liquid
-
Concentration
- 1 mg/mL
-
Buffer
- phosphate buffered saline (without Mg2+ and Ca2+), pH 7.4, 150 mM NaCl, 0.02 % sodium azide and 50 % glycerol.
-
Preservative
- Sodium azide
-
Precaution of Use
- This product contains sodium azide: a POISONOUS AND HAZARDOUS SUBSTANCE which should be handled by trained staff only.
-
Storage
- -20 °C
-
Storage Comment
- Stable at -20°C for at least 1 year.
-
Expiry Date
- 12 months
-
-
- SH2D1B (SH2 Domain Containing 1B (SH2D1B))
-
Alternative Name
- SH2D1B
-
Background
-
Synonyms: SH2 domain-containing protein 1B, EWS/FLI1-activated transcript 2, EAT-2, SH2D1B
NCBI Gene Symbol: SH2D1B
-
Molecular Weight
- 15 kDa
-
Gene ID
- 117157
-
OMIM
- 608510
-
UniProt
- O14796
-
Pathways
- Regulation of Leukocyte Mediated Immunity, Positive Regulation of Immune Effector Process
Target
-