Phone:
+1 877 302 8632
Fax:
+1 888 205 9894 (Toll-free)
E-Mail:
orders@antibodies-online.com

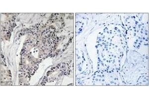
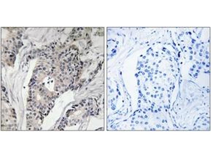
THBS4 antibody (AA 561-610)

The Rabbit Polyclonal anti-THBS4 antibody is suitable to detect THBS4 in samples from Human. It has been validated for IHC and ELISA.
Catalog No. ABIN1535410
$341.00
Plus shipping costs $50.00
Shipping to: United States
Delivery in 2 to 4 Business Days

Quick Overview for THBS4 antibody (AA 561-610) (ABIN1535410)

Target

See all THBS4 Antibodies
THBS4 (Thrombospondin 4 (THBS4))

Reactivity

  • 35
  • 11
  • 8
Human

Host

  • 45
  • 3
Rabbit

Clonality

  • 47
  • 1
Polyclonal

Conjugate

  • 21
  • 10
  • 8
  • 1
  • 1
  • 1
  • 1
  • 1
  • 1
  • 1
  • 1
  • 1
This THBS4 antibody is un-conjugated

Application

  • 39
  • 19
  • 14
  • 12
  • 7
  • 4
  • 4
  • 2
Immunohistochemistry (IHC), ELISA
  • Binding Specificity

    • 10
    • 3
    • 3
    • 3
    • 3
    • 2
    • 2
    • 1
    • 1
    • 1
    • 1
    • 1
    AA 561-610

    Specificity

    THBS4 Antibody detects endogenous levels of total THBS4 protein.

    Purification

    The antibody was purified from rabbit antiserum by affinity-chromatography using immunogen.

    Purity

    > 95 %

    Immunogen

    The antiserum was produced against synthesized peptide derived from human THBS4.

    Isotype

    IgG
  • Application Notes

    IHC: 1:50~1:100 ELISA: 1:20000

    Comment

    Unigene-Number: Hs.211426 (NCBI Gene Symbol: THBS4)

    Restrictions

    For Research Use only
  • Format

    Liquid

    Concentration

    1 mg/mL

    Buffer

    phosphate buffered saline (without Mg2+ and Ca2+), pH 7.4, 150 mM NaCl, 0.02 % sodium azide and 50 % glycerol.

    Preservative

    Sodium azide

    Precaution of Use

    This product contains sodium azide: a POISONOUS AND HAZARDOUS SUBSTANCE which should be handled by trained staff only.

    Storage

    -20 °C

    Storage Comment

    Stable at -20°C for at least 1 year.

    Expiry Date

    12 months
  • Target

    THBS4 (Thrombospondin 4 (THBS4))

    Alternative Name

    THBS4

    Background

    Synonyms: Thrombospondin-4, THBS4, TSP4

    NCBI Gene Symbol: THBS4

    Molecular Weight

    105 kDa

    Gene ID

    7060

    OMIM

    600715

    UniProt

    P35443
You are here:
Chat with us!