Phone:
+1 877 302 8632
Fax:
+1 888 205 9894 (Toll-free)
E-Mail:
orders@antibodies-online.com

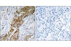
USP32 antibody (AA 271-320)

The Rabbit Polyclonal anti-USP32 antibody (ABIN1535435) specifically detects USP32 in IHC and ELISA. The antibody is reactive with Human and Mouse samples.
Catalog No. ABIN1535435
$341.00
Plus shipping costs $50.00
Shipping to: United States
Delivery in 2 to 4 Business Days

Quick Overview for USP32 antibody (AA 271-320) (ABIN1535435)

Target

USP32 (Ubiquitin Specific Peptidase 32 (USP32))

Reactivity

  • 14
  • 4
  • 1
  • 1
  • 1
Human, Mouse

Host

  • 14
Rabbit

Clonality

  • 14
Polyclonal

Conjugate

  • 7
  • 1
  • 1
  • 1
  • 1
  • 1
  • 1
  • 1
This USP32 antibody is un-conjugated

Application

  • 6
  • 5
  • 5
  • 1
Immunohistochemistry (IHC), ELISA
  • Binding Specificity

    • 1
    • 1
    • 1
    • 1
    AA 271-320

    Specificity

    USP32 Antibody detects endogenous levels of total USP32 protein.

    Purification

    The antibody was purified from rabbit antiserum by affinity-chromatography using immunogen.

    Purity

    > 95 %

    Immunogen

    The antiserum was produced against synthesized peptide derived from human USP32.

    Isotype

    IgG
  • Application Notes

    IHC: 1:50~1:100 ELISA: 1:40000

    Comment

    Unigene-Number: Hs.132868 (NCBI Gene Symbol: USP32)

    Restrictions

    For Research Use only
  • Format

    Liquid

    Concentration

    1 mg/mL

    Buffer

    phosphate buffered saline (without Mg2+ and Ca2+), pH 7.4, 150 mM NaCl, 0.02 % sodium azide and 50 % glycerol.

    Preservative

    Sodium azide

    Precaution of Use

    This product contains sodium azide: a POISONOUS AND HAZARDOUS SUBSTANCE which should be handled by trained staff only.

    Storage

    -20 °C

    Storage Comment

    Stable at -20°C for at least 1 year.

    Expiry Date

    12 months
  • Target

    USP32 (Ubiquitin Specific Peptidase 32 (USP32))

    Alternative Name

    USP32

    Background

    Synonyms: Ubiquitin carboxyl-terminal hydrolase 32, Ubiquitin thioesterase 32, Ubiquitin-specific-processing protease 32, Deubiquitinating enzyme 32, Renal carcinoma antigen NY-REN-60, USP32, USP10,

    NCBI Gene Symbol: USP32

    Molecular Weight

    181 kDa

    Gene ID

    84669

    OMIM

    607740

    UniProt

    Q8NFA0
You are here:
Chat with us!