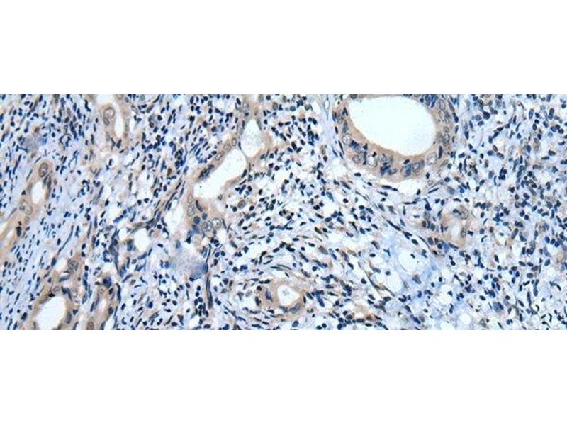
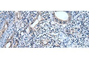
USP32
Reactivity: Human
Host: Rabbit
Polyclonal
Alexa Fluor 680
Application Notes
IHC 1:50-1:300, ELISA 1:5000-1:10000
Restrictions
For Research Use only
Format
Liquid
Concentration
1.2 mg/mL
Buffer
PBS with 0.05 % Sodium azide and 40 % Glycerol, pH 7.4
Preservative
Sodium azide
Precaution of Use
This product contains Sodium azide: a POISONOUS AND HAZARDOUS SUBSTANCE which should be handled by trained staff only.
Storage
-20 °C
Storage Comment
Store at -20°C. Avoid freeze / thaw cycles.
Target
USP32
(Ubiquitin Specific Peptidase 32 (USP32))
Alternative Name
USP32
Background
USP32 (ubiquitin specific peptidase 32), also known as NY-REN-60, is a 1,604 amino acid protein that contains one DUSP domain and three EF-hand calcium binding domains. Localized to membranes in a lipid-anchored fashion and expressed in all normal tissues, USP32 catalyzes the conversion of a ubiquitin C-terminal thioester to a free ubiquitin and a thiol, a reaction that may influence several cellular processes.