Phone:
+1 877 302 8632
Fax:
+1 888 205 9894 (Toll-free)
E-Mail:
orders@antibodies-online.com

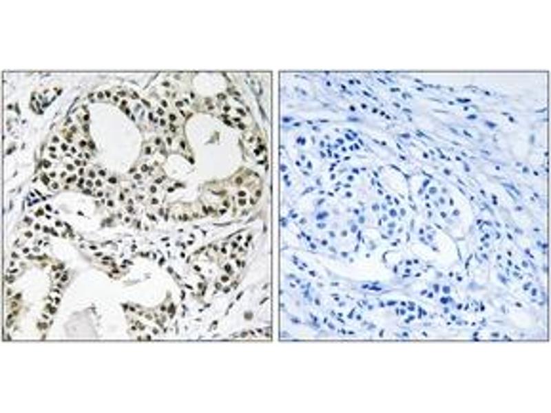
YEATS2 antibody (AA 341-390)

This Rabbit Polyclonal antibody specifically detects YEATS2 in ELISA and IHC. It exhibits reactivity toward Human.
Catalog No. ABIN1535469
$341.00
Plus shipping costs $50.00
Shipping to: United States
Delivery in 2 to 4 Business Days

Quick Overview for YEATS2 antibody (AA 341-390) (ABIN1535469)

Target

See all YEATS2 Antibodies
YEATS2 (YEATS Domain Containing 2 (YEATS2))

Reactivity

  • 18
  • 7
  • 3
  • 2
  • 2
  • 2
  • 2
  • 2
  • 1
  • 1
  • 1
  • 1
Human

Host

  • 18
Rabbit

Clonality

  • 18
Polyclonal

Conjugate

  • 11
  • 1
  • 1
  • 1
  • 1
  • 1
  • 1
  • 1
This YEATS2 antibody is un-conjugated

Application

  • 9
  • 5
  • 5
  • 1
  • 1
ELISA, Immunohistochemistry (IHC)
  • Binding Specificity

    • 2
    • 2
    • 1
    • 1
    • 1
    AA 341-390

    Specificity

    YEATS2 Antibody detects endogenous levels of total YEATS2 protein.

    Purification

    The antibody was purified from rabbit antiserum by affinity-chromatography using immunogen.

    Purity

    > 95 %

    Immunogen

    The antiserum was produced against synthesized peptide derived from human YEATS2.

    Isotype

    IgG
  • Application Notes

    IHC: 1:50~1:100 ELISA: 1:5000

    Comment

    Unigene-Number: Hs.632575 (NCBI Gene Symbol: YEATS2)

    Restrictions

    For Research Use only
  • Format

    Liquid

    Concentration

    1 mg/mL

    Buffer

    phosphate buffered saline (without Mg2+ and Ca2+), pH 7.4, 150 mM NaCl, 0.02 % sodium azide and 50 % glycerol.

    Preservative

    Sodium azide

    Precaution of Use

    This product contains sodium azide: a POISONOUS AND HAZARDOUS SUBSTANCE which should be handled by trained staff only.

    Storage

    -20 °C

    Storage Comment

    Stable at -20°C for at least 1 year.

    Expiry Date

    12 months
  • Target

    YEATS2 (YEATS Domain Containing 2 (YEATS2))

    Alternative Name

    YEATS2

    Background

    Synonyms: YEATS domain-containing protein 2, YEATS2, KIAA1197,

    NCBI Gene Symbol: YEATS2

    Molecular Weight

    150 kDa

    Gene ID

    55689

    UniProt

    Q9ULM3
You are here:
Chat with us!