Phone:
+1 877 302 8632
Fax:
+1 888 205 9894 (Toll-free)
E-Mail:
orders@antibodies-online.com

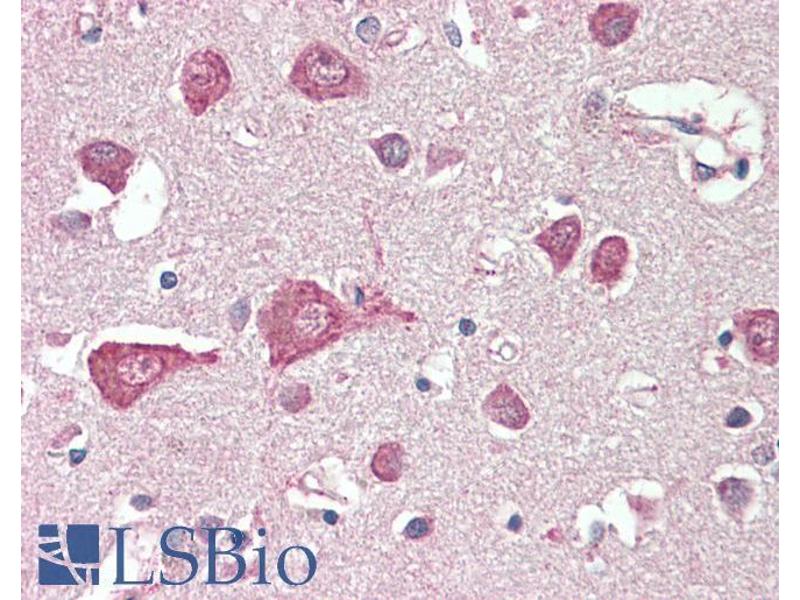
MLC1 antibody (AA 179-193)

The Goat Polyclonal anti-MLC1 antibody is suitable to detect MLC1 in samples from Human. It has been validated for WB, ELISA and IHC.
Catalog No. ABIN1590116
$488.25
Plus shipping costs $50.00
100 μg
Shipping to: United States
Delivery in 1 to 3 Business Days

Quick Overview for MLC1 antibody (AA 179-193) (ABIN1590116)

Target

MLC1

Reactivity

  • 18
  • 18
  • 17
  • 2
  • 2
  • 2
  • 1
  • 1
  • 1
Human

Host

  • 35
Goat

Clonality

  • 35
Polyclonal

Conjugate

  • 12
  • 4
  • 3
  • 3
  • 1
  • 1
  • 1
  • 1
  • 1
  • 1
  • 1
  • 1
  • 1
  • 1
  • 1
  • 1
  • 1
This MLC1 antibody is un-conjugated

Application

  • 29
  • 16
  • 13
  • 13
  • 3
  • 3
  • 3
  • 1
  • 1
  • 1
Western Blotting (WB), ELISA, Immunohistochemistry (IHC)

Grade

Verified
  • Binding Specificity

    • 15
    • 9
    • 5
    • 2
    • 1
    • 1
    • 1
    • 1
    • 1
    AA 179-193

    Purpose

    MLC1 (aa179-193)

    Sequence

    SDSANILDEV PFPAR

    Specificity

    Reported variants represent identical protein: NP_631941.1, NP_055981.1.

    Cross-Reactivity

    Human

    Purification

    Purified from goat serum by ammonium sulphate precipitation followed by antigen affinity chromatography using the immunizing peptide.

    Isotype

    IgG
  • Application Notes

    Immunohistochemistry: Paraffin embedded Human Brain (Cortex). Recommended concentration: 5 μg/mL.

    Western Blot: Approx 70 kDa band observed in Human Brain (Hippocampus) lysates (calculated MW of 41.1 kDa according to NP_055981.1). The observed molecular weight corresponds to earlier findings in literature with different antibodies (López-Hernández et a

    Peptide ELISA: antibody detection limit dilution 1:128000.

    Restrictions

    For Research Use only
  • Format

    Liquid

    Concentration

    0.5 mg/mL

    Buffer

    Supplied at 0.5 mg/mL in Tris saline, 0.02 % sodium azide, pH 7.3 with 0.5 % bovine serum albumin.

    Preservative

    Sodium azide

    Precaution of Use

    This product contains Sodium azide: a POISONOUS AND HAZARDOUS SUBSTANCE which should be handled by trained staff only.

    Handling Advice

    Minimize freezing and thawing.

    Storage

    -20 °C

    Storage Comment

    Aliquot and store at -20°C, with minimal freeze/thawing. A working aliquot may be refrigerated at 4°C for a few weeks and still remain viable.
  • Target

    MLC1

    Background

    MLC1, megalencephalic leukoencephalopathy with subcortical cysts 1, LVM, MLC, VL, membrane protein MLC1

    Gene ID

    23209

    NCBI Accession

    NP_055981
You are here:
Chat with us!