This product contains Sodium azide: a POISONOUS AND HAZARDOUS SUBSTANCE which should be handled by trained staff only.
Storage
-20 °C
Storage Comment
Store at -20°C. Avoid freeze / thaw cycles.
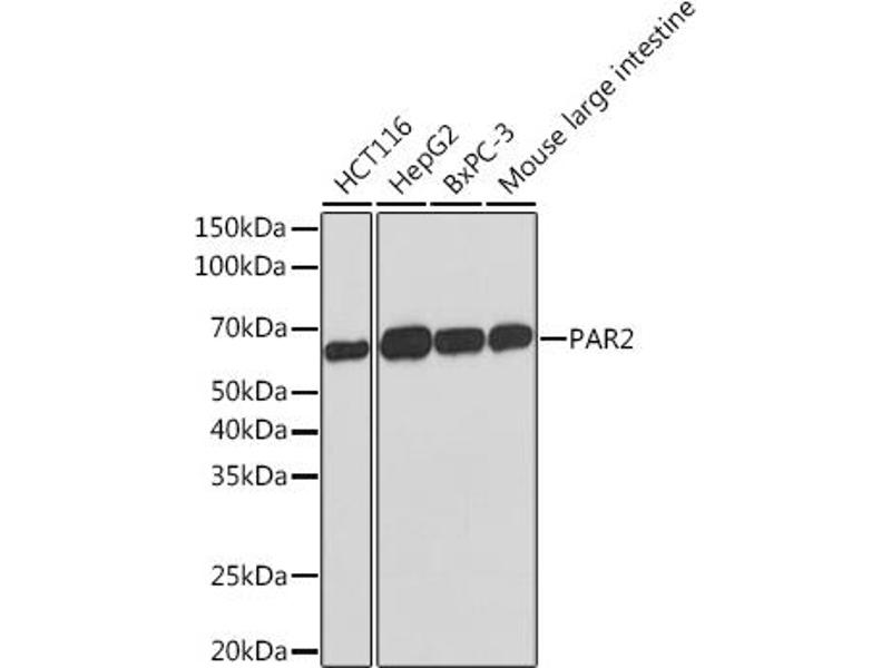
Target
F2RL1
(Coagulation Factor II (thrombin) Receptor-Like 1 (F2RL1))
Alternative Name
F2RL1
Background
This gene encodes a member of the G-protein coupled receptor 1 family of proteins. The encoded cell surface receptor is activated through proteolytic cleavage of its extracellular amino terminus, resulting in a new amino terminus that acts as a tethered ligand that binds to an extracellular loop domain. Activation of the receptor has been shown to stimulate vascular smooth muscle relaxation, dilate blood vessels, increase blood flow, and lower blood pressure. This protein is also important in the inflammatory response, as well as innate and adaptive immunity. [provided by RefSeq, Jun 2016],GPR11, PAR2,G protein signaling,G protein signaling_G-Protein-Coupled Receptors(GPCR),Signal Transduction,F2RL1