Phone:
+1 877 302 8632
Fax:
+1 888 205 9894 (Toll-free)
E-Mail:
orders@antibodies-online.com

EPH Receptor A2 antibody

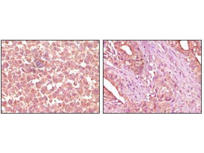
There are 2+ publications for this product available. The Mouse Monoclonal anti-EPH Receptor A2 antibody is suitable to detect EPH Receptor A2 in samples from Human. It has been validated for WB, ELISA and IHC.
Catalog No. ABIN1724651
$430.40
Plus shipping costs $50.00
100 μL
Shipping to: United States
Delivery in 3 to 5 Business Days

Quick Overview for EPH Receptor A2 antibody (ABIN1724651)

Target

See all EPH Receptor A2 (EPHA2) Antibodies
EPH Receptor A2 (EPHA2)

Reactivity

  • 121
  • 76
  • 47
  • 14
  • 6
  • 5
  • 4
  • 3
  • 2
  • 1
  • 1
  • 1
  • 1
  • 1
Human

Host

  • 121
  • 23
  • 4
  • 3
Mouse

Clonality

  • 115
  • 35
  • 1
Monoclonal

Conjugate

  • 83
  • 9
  • 9
  • 7
  • 7
  • 7
  • 2
  • 2
  • 2
  • 2
  • 2
  • 2
  • 2
  • 2
  • 2
  • 2
  • 2
  • 1
  • 1
  • 1
  • 1
  • 1
  • 1
  • 1
This EPH Receptor A2 antibody is un-conjugated

Application

  • 124
  • 75
  • 27
  • 26
  • 19
  • 14
  • 13
  • 12
  • 7
  • 7
  • 7
  • 5
  • 3
  • 2
  • 2
  • 2
  • 2
  • 1
  • 1
  • 1
  • 1
Western Blotting (WB), ELISA, Immunohistochemistry (IHC)

Clone

1B3C7
  • Purpose

    EphA2 Antibody

    Purification

    Ascitic fluid

    Immunogen

    Purified recombinant fragment of EphA2 expressed in E. Coli.

    Isotype

    IgM
  • Application Notes

    ELISA: 1/10000

    Restrictions

    For Research Use only
  • Format

    Liquid

    Buffer

    Ascitic fluid containing 0.03 % sodium azide.

    Preservative

    Sodium azide

    Precaution of Use

    This product contains Sodium azide: a POISONOUS AND HAZARDOUS SUBSTANCE which should be handled by trained staff only.

    Storage

    4 °C,-20 °C

    Storage Comment

    Store at 4°C short term. Aliquot and store at -20°C long term. Avoid freeze/thaw cycles.
  • Abraham, Knapp, Cheng, Snyder, Mittal, Bangari, Kinch, Wu, Dhariwal, Mohammed: "Expression of EphA2 and Ephrin A-1 in carcinoma of the urinary bladder." in: Clinical cancer research : an official journal of the American Association for Cancer Research, Vol. 12, Issue 2, pp. 353-60, (2006) (PubMed).

    Landen, Kinch, Sood: "EphA2 as a target for ovarian cancer therapy." in: Expert opinion on therapeutic targets, Vol. 9, Issue 6, pp. 1179-87, (2005) (PubMed).

  • Target

    EPH Receptor A2 (EPHA2)

    Alternative Name

    EphA2

    Background

    EPH receptor A2 (EphA2), with 976-amino acid protein (about 107 kDa), belongs to the ephrin receptor subfamily of the protein-tyrosine kinase family. EphA1, EphA2, EphA3, EphA4, EphA5, EphA6, EphA7, EphA8, EphA10, EphB1, EphB2, EphB3, EphB4 and EphB6 are Eph family receptors for Ephrin family ligands. In normal cells, EphA2 negatively regulates cell growth and invasiveness. EphA2 is overexpressed by many human cancers, and is often associated with poor prognostic features. The clinical significance of the expression of EphA2 was observed in breast, prostate, colon, skin, cervical, ovarian, and lung cancers.EphA2 may serve as a novel target for bladder cancer, colonic adenocarcinoma and ovarian cancer therapy.

    Gene ID

    1969

    UniProt

    P29317

    Pathways

    RTK Signaling
You are here:
Chat with us!