Cited in 1 publication.
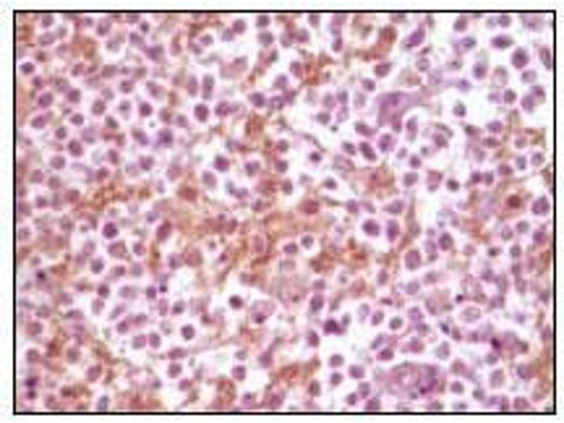
The Mouse Monoclonal anti-SNCA antibody (Clone 2B2D1) (ABIN1724652) specifically detects SNCA in ELISA and IHC.
The antibody is reactive with Human samples.
This product contains Sodium azide: a POISONOUS AND HAZARDOUS SUBSTANCE which should be handled by trained staff only.
Storage
4 °C,-20 °C
Storage Comment
Store at 4°C short term. Aliquot and store at -20°C long term. Avoid freeze/thaw cycles.
Li, Lin, Xie, Hu: "The early events of alpha-synuclein oligomerization revealed by photo-induced cross-linking." in: Protein and peptide letters, Vol. 13, Issue 4, pp. 385-90, (2006) (PubMed).
Target
SNCA
(Synuclein, alpha (SNCA))
Alternative Name
SNCA
Background
Alpha-synuclein (SNCA), with 140-amino acid protein (about 15 kDa), belongs to the synuclein family, which also includes beta- and gamma-synuclein. SNCA is a soluble protein, expressed principally in the brain but also expressed in low concentrations in all tissues examined (except liver). SNCA is implicated in the regulation of dopamine release and transport. The triplication of the SNCA can cause Parkinson disease (PD) and diffuse Lewy body disease within the same kindred. SNCA peptides are a major component of amyloid plaques in the brains of patients with Alzheimer's disease. Immunohistochemistry for SNCA has become the histological technique of choice for the diagnosis for Parkinson's disease, Dementia with Lewy bodies and Multiple System Atrophy.