Phone:
+1 877 302 8632
Fax:
+1 888 205 9894 (Toll-free)
E-Mail:
orders@antibodies-online.com

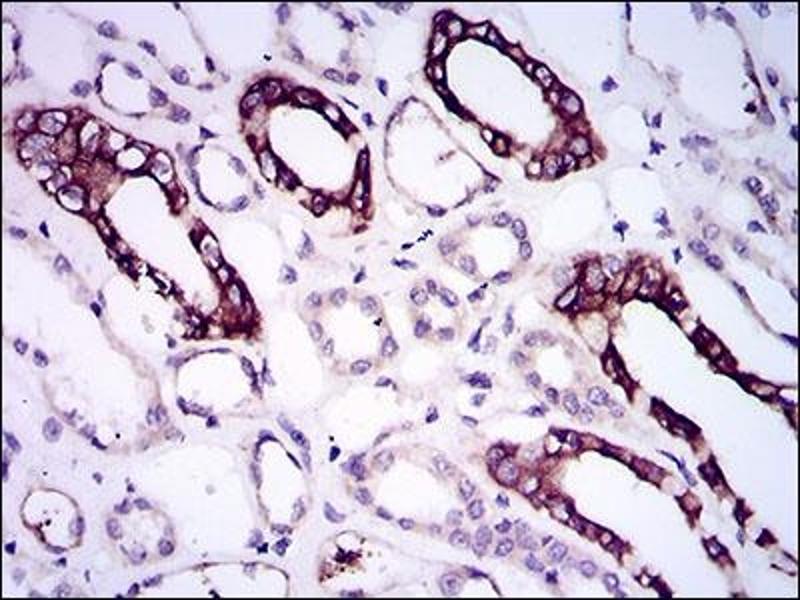
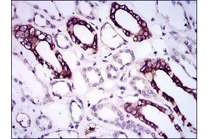
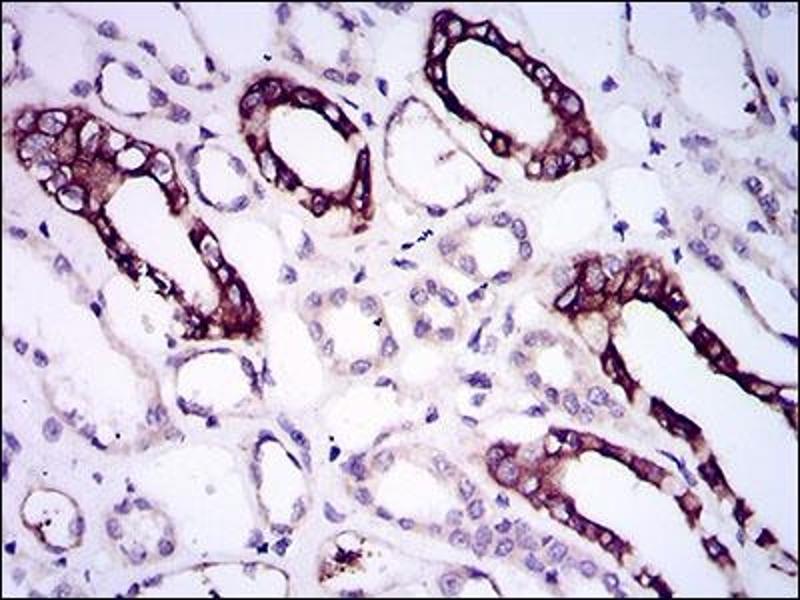
BMPR1A antibody (AA 179-378)

This Mouse Monoclonal antibody specifically detects BMPR1A in ELISA, IHC and FACS. It exhibits reactivity toward Human. It has been mentioned in 2+ publications
Catalog No. ABIN1724746
$548.16
Plus shipping costs $50.00
100 μL
Shipping to: United States
Delivery in 3 to 5 Business Days

Quick Overview for BMPR1A antibody (AA 179-378) (ABIN1724746)

Target

See all BMPR1A Antibodies
BMPR1A (Bone Morphogenetic Protein Receptor 1A (BMPR1A))

Reactivity

  • 81
  • 54
  • 35
  • 1
Human

Host

  • 92
  • 13
  • 1
Mouse

Clonality

  • 94
  • 12
Monoclonal

Conjugate

  • 52
  • 9
  • 7
  • 6
  • 6
  • 5
  • 1
  • 1
  • 1
  • 1
  • 1
  • 1
  • 1
  • 1
  • 1
  • 1
  • 1
  • 1
  • 1
  • 1
  • 1
  • 1
  • 1
  • 1
  • 1
  • 1
  • 1
This BMPR1A antibody is un-conjugated

Application

  • 88
  • 56
  • 39
  • 27
  • 8
  • 6
  • 5
  • 4
  • 1
  • 1
  • 1
  • 1
ELISA, Immunohistochemistry (IHC), Flow Cytometry (FACS)

Clone

4B7B2
  • Binding Specificity

    • 16
    • 11
    • 9
    • 8
    • 8
    • 8
    • 5
    • 4
    • 3
    • 2
    • 2
    • 2
    • 2
    • 2
    • 1
    • 1
    • 1
    • 1
    • 1
    • 1
    • 1
    • 1
    • 1
    • 1
    • 1
    • 1
    • 1
    AA 179-378

    Purpose

    BMPR1A Antibody

    Purification

    Purified antibody

    Immunogen

    Purified recombinant fragment of human BMPR1A (AA: 179-378 ) expressed in E. Coli.

    Isotype

    IgG1
  • Application Notes

    ELISA: 1/10000

    FCM: 1/200 - 1/400

    Restrictions

    For Research Use only
  • Format

    Liquid

    Buffer

    Purified antibody in PBS with 0.05 % sodium azide.

    Preservative

    Sodium azide

    Precaution of Use

    This product contains Sodium azide: a POISONOUS AND HAZARDOUS SUBSTANCE which should be handled by trained staff only.

    Storage

    4 °C,-20 °C

    Storage Comment

    Store at 4°C short term. Aliquot and store at -20°C long term. Avoid freeze/thaw cycles.
  • Nickel, Kotzsch, Sebald, Mueller: "Purification, crystallization and preliminary data analysis of the ligand-receptor complex of the growth and differentiation factor 5 variant R57A (GDF5R57A) and BMP receptor IA (BRIA)." in: Acta crystallographica. Section F, Structural biology and crystallization communications, Vol. 67, Issue Pt 5, pp. 551-5, (2011) (PubMed).

    Nieminen, Abdel-Rahman, Ristimäki, Lappalainen, Lahermo, Mecklin, Järvinen, Peltomäki: "BMPR1A mutations in hereditary nonpolyposis colorectal cancer without mismatch repair deficiency." in: Gastroenterology, Vol. 141, Issue 1, pp. e23-6, (2011) (PubMed).

  • Target

    BMPR1A (Bone Morphogenetic Protein Receptor 1A (BMPR1A))

    Alternative Name

    BMPR1A

    Background

    The bone morphogenetic protein (BMP) receptors are a family of transmembrane serine/threonine kinases that include the type I receptors BMPR1A and BMPR1B and the type II receptor BMPR2. These receptors are also closely related to the activin receptors, ACVR1 and ACVR2. The ligands of these receptors are members of the TGF-beta superfamily. TGF-betas and activins transduce their signals through the formation of heteromeric complexes with 2 different types of serine (threonine) kinase receptors: type I receptors of about 50-55 kD and type II receptors of about 70-80 kD. Type II receptors bind ligands in the absence of type I receptors, but they require their respective type I receptors for signaling, whereas type I receptors require their respective type II receptors for ligand binding.

    Molecular Weight

    60 kDa

    Gene ID

    657

    UniProt

    P36894

    Pathways

    Stem Cell Maintenance
You are here:
Chat with us!