HIF3A antibody (N-Term)
Quick Overview for HIF3A antibody (N-Term) (ABIN1781937)
Target
See all HIF3A AntibodiesReactivity
Host
Clonality
Conjugate
Application
Grade
-
-
Binding Specificity
- N-Term
-
Purpose
- HIF3A
-
Sequence
- QDHRSTTELR KEKS
-
Specificity
- This antibody is expected to recognize isoform a and c (NP_690007.1, NP_690008.2).
-
Cross-Reactivity
- Human, Mouse, Rat
-
Purification
- Purified from goat serum by ammonium sulphate precipitation followed by antigen affinity chromatography using the immunizing peptide.
-
Isotype
- IgG
-
-
-
-
Application Notes
-
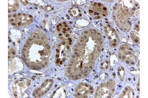
Immunohistochemistry: In paraffin embedded Human Kidney shows nuclear staining in some of the DCT. Recommended concentration, 4-6 μg/mL.
Peptide ELISA: antibody detection limit dilution 1:128000.
-
Restrictions
- For Research Use only
-
-
-
Format
- Liquid
-
Concentration
- 0.5 mg/mL
-
Buffer
- Supplied at 0.5 mg/mL in Tris saline, 0.02 % sodium azide, pH 7.3 with 0.5 % bovine serum albumin.
-
Preservative
- Sodium azide
-
Precaution of Use
- This product contains Sodium azide: a POISONOUS AND HAZARDOUS SUBSTANCE which should be handled by trained staff only.
-
Handling Advice
- Minimize freezing and thawing.
-
Storage
- -20 °C
-
Storage Comment
- Aliquot and store at -20°C, with minimal freeze/thawing. A working aliquot may be refrigerated at 4°C for a few weeks and still remain viable.
-
-
- HIF3A (Hypoxia Inducible Factor 3, alpha Subunit (HIF3A))
-
Alternative Name
- HIF3A
-
Background
- HIF3A, hypoxia inducible factor 3, alpha subunit, HIF-3A, HIF-3A2, HIF-3A4, IPAS, MOP7, PASD7, bHLHe17, hypoxia-inducible factor-3 alpha 4, inhibitory PAS domain protein
-
Gene ID
- 64344, 53417, 64345
-
NCBI Accession
- NP_690007, NP_690008
-
Pathways
- Warburg Effect
Target
-