Phone:
+1 877 302 8632
Fax:
+1 888 205 9894 (Toll-free)
E-Mail:
orders@antibodies-online.com

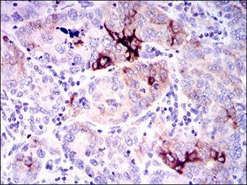
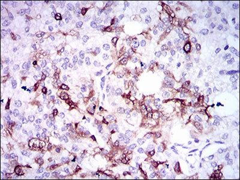
Osteopontin antibody (AA 167-314)

The Mouse Monoclonal anti-Osteopontin antibody (ABIN1845756) specifically detects Osteopontin in WB, IHC, ELISA and IF/ICC. The antibody is reactive with Human samples.
Catalog No. ABIN1845756
$572.76
Plus shipping costs $50.00
100 μL
Shipping to: United States
Delivery in 10 to 18 Business Days

Quick Overview for Osteopontin antibody (AA 167-314) (ABIN1845756)

Target

See all Osteopontin (SPP1) Antibodies
Osteopontin (SPP1) (Secreted phosphoprotein 1 (SPP1))

Reactivity

  • 164
  • 76
  • 76
  • 11
  • 9
  • 7
  • 6
  • 4
  • 4
  • 4
  • 2
  • 2
  • 1
  • 1
  • 1
  • 1
  • 1
Human

Host

  • 134
  • 62
  • 4
  • 3
  • 2
  • 2
  • 2
Mouse

Clonality

  • 122
  • 81
Monoclonal

Conjugate

  • 103
  • 14
  • 14
  • 8
  • 8
  • 6
  • 3
  • 3
  • 3
  • 3
  • 3
  • 3
  • 3
  • 3
  • 3
  • 3
  • 3
  • 3
  • 3
  • 3
  • 3
  • 3
  • 3
  • 2
  • 1
  • 1
  • 1
This Osteopontin antibody is un-conjugated

Application

  • 163
  • 74
  • 65
  • 40
  • 39
  • 37
  • 33
  • 30
  • 23
  • 22
  • 9
  • 6
  • 4
  • 3
  • 2
  • 2
  • 2
  • 1
  • 1
  • 1
Western Blotting (WB), Immunohistochemistry (IHC), ELISA, Immunofluorescence (fixed cells) (IF/ICC)
  • Binding Specificity

    • 15
    • 15
    • 15
    • 13
    • 11
    • 7
    • 6
    • 5
    • 5
    • 5
    • 4
    • 3
    • 3
    • 3
    • 2
    • 2
    • 2
    • 2
    • 2
    • 2
    • 2
    • 1
    • 1
    • 1
    • 1
    • 1
    • 1
    • 1
    • 1
    • 1
    • 1
    • 1
    • 1
    • 1
    AA 167-314

    Purification

    Purified antibody

    Immunogen

    Purified recombinant fragment of human SPP1 (AA: 167-314) expressed in E. Coli.

    Isotype

    IgG1
  • Application Notes

    Optimal working dilution should be determined by the investigator.

    Restrictions

    For Research Use only
  • Format

    Liquid

    Concentration

    1.0 mg/mL

    Buffer

    PBS with 0.05 % sodium azide and 0.5 % protein stabilizer.

    Preservative

    Sodium azide

    Precaution of Use

    This product contains Sodium azide: a POISONOUS AND HAZARDOUS SUBSTANCE which should be handled by trained staff only.

    Storage

    -20 °C

    Storage Comment

    Aliquot and store at -20 °C. Avoid repeated freeze/thaw cycles.
  • Target

    Osteopontin (SPP1) (Secreted phosphoprotein 1 (SPP1))

    Alternative Name

    SPP1

    Background

    The protein encoded by this gene is involved in the attachment of osteoclasts to the mineralized bone matrix. The encoded protein is secreted and binds hydroxyapatite with high affinity. The osteoclast vitronectin receptor is found in the cell membrane and may be involved in the binding to this protein. This protein is also a cytokine that upregulates expression of interferon gamma and interleukin-12. Several transcript variants encoding different isoforms have been found for this gene.

    Molecular Weight

    35.4 kDa

    Gene ID

    6696

    UniProt

    P10451

    Pathways

    Regulation of Cell Size
You are here:
Chat with us!