ALS2 antibody (C-Term)
Quick Overview for ALS2 antibody (C-Term) (ABIN184691)
Target
See all ALS2 AntibodiesReactivity
Host
Clonality
Conjugate
Application
Grade
-
-
Binding Specificity
- C-Term
-
Purpose
- Alsin / ALS2
-
Sequence
- LKACYYQIQR EKLN
-
Cross-Reactivity
- Cow, Dog, Human, Mouse, Rat
-
Purification
- Purified from goat serum by ammonium sulphate precipitation followed by antigen affinity chromatography using the immunizing peptide.
-
Immunogen
- Peptide with sequence LKACYYQIQREKLN, from the C Terminus of the protein sequence according to NP_065970.2.
-
Isotype
- IgG
-
-
-
-
Application Notes
-
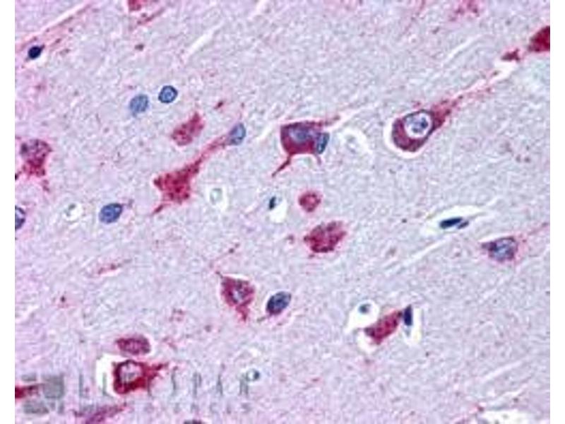
Immunohistochemistry: In paraffin embedded Human Cortex shows pixulate cytoplasm staining in some neuronal cells. Recommended concentration, 3-5 μg/mL.
Western Blot: No signal obtained yet but low background observed in Human Brain extracts at upto 1 μg/mL.
Peptide ELISA: antibody detection limit dilution 1:8000.
-
Restrictions
- For Research Use only
-
-
-
Format
- Liquid
-
Concentration
- 0.5 mg/mL
-
Buffer
- Supplied at 0.5 mg/mL in Tris saline, 0.02 % sodium azide, pH 7.3 with 0.5 % bovine serum albumin.
-
Preservative
- Sodium azide
-
Precaution of Use
- This product contains Sodium azide: a POISONOUS AND HAZARDOUS SUBSTANCE which should be handled by trained staff only.
-
Handling Advice
- Minimize freezing and thawing.
-
Storage
- -20 °C
-
Storage Comment
- Aliquot and store at -20°C, with minimal freeze/thawing. A working aliquot may be refrigerated at 4°C for a few weeks and still remain viable.
-
-
- ALS2 (Amyotrophic Lateral Sclerosis 2 (Juvenile) (ALS2))
-
Alternative Name
- ALS2
-
Background
- ALS2, amyotrophic lateral sclerosis 2 (juvenile), ALSJ, PLSJ, IAHSP, KIAA1563, ALS2CR6, FLJ31851, MGC87187, alsin
-
Gene ID
- 57679
-
NCBI Accession
- NP_065970
-
Pathways
- Skeletal Muscle Fiber Development
Target
-