COPS2 antibody (C-Term)
Quick Overview for COPS2 antibody (C-Term) (ABIN184997)
Target
See all COPS2 AntibodiesReactivity
Host
Clonality
Conjugate
Application
Grade
-
-
Binding Specificity
- C-Term
-
Purpose
- CSN2 / TRIP15
-
Sequence
- LNSLNQAVVS KLA
-
Cross-Reactivity
- Cow, Dog, Human, Mouse, Rat
-
Purification
- Purified from goat serum by ammonium sulphate precipitation followed by antigen affinity chromatography using the immunizing peptide.
-
Immunogen
- Peptide with sequence C-LNSLNQAVVSKLA, from the C Terminus of the protein sequence according to NP_004227.1, NP_001137359.1.
-
Isotype
- IgG
-
-
-
-
Application Notes
-
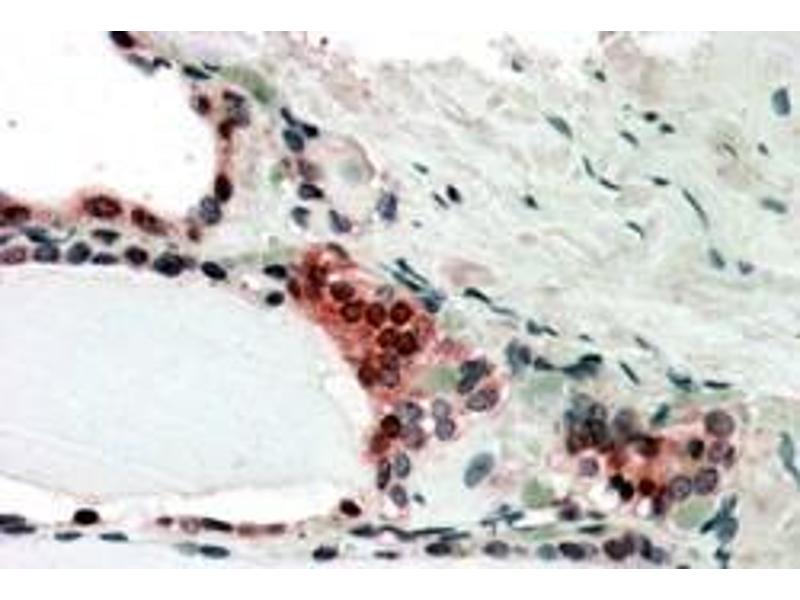
Immunohistochemistry: In paraffin embedded Human Thyroid Gland shows nuclear and cytoplasm staining in activated epithelial cells Recommended concentration: 3-5 μg/mL.
Western Blot: Approx. 48 kDa band observed in lysates of Mouse putuitary cell line NIH3T3 (calculated MW of 51.6 kDa according to NP_004227.1). Recommended concentration: 1-3 μg/mL.
Peptide ELISA: antibody detection limit dilution 1:16000.
-
Restrictions
- For Research Use only
-
-
-
Format
- Liquid
-
Concentration
- 0.5 mg/mL
-
Buffer
- Supplied at 0.5 mg/mL in Tris saline, 0.02 % sodium azide, pH 7.3 with 0.5 % bovine serum albumin.
-
Preservative
- Sodium azide
-
Precaution of Use
- This product contains Sodium azide: a POISONOUS AND HAZARDOUS SUBSTANCE which should be handled by trained staff only.
-
Handling Advice
- Minimize freezing and thawing.
-
Storage
- -20 °C
-
Storage Comment
- Aliquot and store at -20°C, with minimal freeze/thawing. A working aliquot may be refrigerated at 4°C for a few weeks and still remain viable.
-
-
-
: "TRAF-interacting protein (TRIP) is a RING-dependent ubiquitin ligase." in: Biochemical and biophysical research communications, Vol. 359, Issue 3, pp. 660-4, (2007) (PubMed).
-
-
- COPS2 (COP9 Constitutive Photomorphogenic Homolog Subunit 2 (Arabidopsis) (COPS2))
-
Alternative Name
- COPS2
-
Background
- COPS2, TRIP15, COPS2, CSN2, thyroid receptor interacting protein 15, SGN2, COP9 constitutive photomorphogenic homolog subunit 2, thyroid receptor interacting protein 15, COP9 constitutive photomorphogenic homolog subunit 2 (Arabidopsis), COP9, subunit 2,
-
Gene ID
- 9318, 12848, 261736
-
NCBI Accession
- NP_004227, NP_001137359
-
Pathways
- Cell Division Cycle
Target
-