Phone:
+1 877 302 8632
Fax:
+1 888 205 9894 (Toll-free)
E-Mail:
orders@antibodies-online.com

MORF4L1 antibody (N-Term)

The Goat Polyclonal anti-MORF4L1 antibody is suitable to detect MORF4L1 in samples from Human, Mouse, Rat and Pig. It has been validated for WB, ELISA and IHC.
Catalog No. ABIN185075
$488.25
Plus shipping costs $50.00
100 μg
Shipping to: United States
Delivery in 1 to 3 Business Days

Quick Overview for MORF4L1 antibody (N-Term) (ABIN185075)

Target

See all MORF4L1 Antibodies
MORF4L1 (Mortality Factor 4 Like 1 (MORF4L1))

Reactivity

  • 43
  • 43
  • 22
  • 9
  • 9
  • 8
  • 8
  • 8
  • 7
  • 5
  • 3
  • 3
  • 2
  • 1
  • 1
Human, Mouse, Rat, Pig

Host

  • 55
  • 3
  • 1
Goat

Clonality

  • 56
  • 3
Polyclonal

Conjugate

  • 30
  • 4
  • 2
  • 2
  • 2
  • 2
  • 2
  • 2
  • 1
  • 1
  • 1
  • 1
  • 1
  • 1
  • 1
  • 1
  • 1
  • 1
  • 1
  • 1
  • 1
This MORF4L1 antibody is un-conjugated

Application

  • 43
  • 15
  • 14
  • 14
  • 11
  • 7
  • 7
  • 4
  • 3
  • 1
Western Blotting (WB), ELISA, Immunohistochemistry (IHC)

Grade

Verified
  • Binding Specificity

    • 15
    • 3
    • 3
    • 3
    • 2
    • 2
    • 1
    • 1
    • 1
    • 1
    • 1
    • 1
    • 1
    • 1
    • 1
    • 1
    • 1
    • 1
    N-Term

    Purpose

    MRG15 / MORF4L1

    Sequence

    APKQDPKPKF QEG

    Specificity

    This antibody is expected to recognise isoform 1 (NP_006782.1) and isoform 2 (NP_996670.1).

    Cross-Reactivity

    Cow, Human, Mouse, Pig, Rat

    Purification

    Purified from goat serum by ammonium sulphate precipitation followed by antigen affinity chromatography using the immunizing peptide.

    Immunogen

    Peptide with sequence APKQDPKPKFQEG-C, from the N Terminus of the protein sequence according to NP_006782.1, NP_996670.1.

    Isotype

    IgG
  • Application Notes

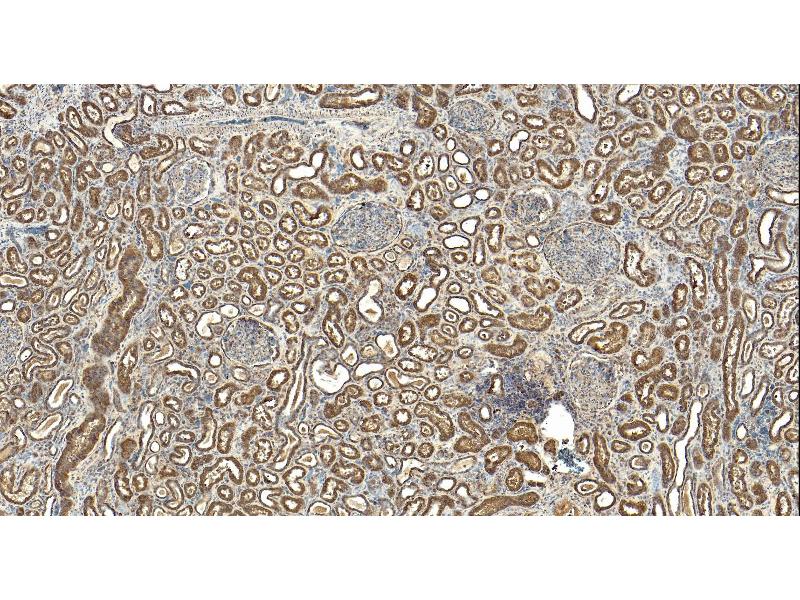
    Immunohistochemistry: Paraffin embedded Human Kidney. Recommended concentration: 4-6 μg/mL.

    Western Blot: Approx 37 kDa band observed in nuclear lysates of cell lines HepG2 and NIH3T3 and approx 40 kDa band observed in Mouse, Rat and Pig Liver lysates (calculated MW of 37.2 kDa according to Human NP_006782.1, Mouse NP_077751.1, Rat NP_001011999.1

    Peptide ELISA: antibody detection limit dilution 1:128000.

    Restrictions

    For Research Use only
  • Format

    Liquid

    Concentration

    0.5 mg/mL

    Buffer

    Supplied at 0.5 mg/mL in Tris saline, 0.02 % sodium azide, pH 7.3 with 0.5 % bovine serum albumin.

    Preservative

    Sodium azide

    Precaution of Use

    This product contains Sodium azide: a POISONOUS AND HAZARDOUS SUBSTANCE which should be handled by trained staff only.

    Handling Advice

    Minimize freezing and thawing.

    Storage

    -20 °C

    Storage Comment

    Aliquot and store at -20°C, with minimal freeze/thawing. A working aliquot may be refrigerated at 4°C for a few weeks and still remain viable.
  • Target

    MORF4L1 (Mortality Factor 4 Like 1 (MORF4L1))

    Alternative Name

    MORF4L1

    Background

    MORF4L1, MRG15, MORF-related gene 15, mortality factor 4 like 1, Eaf3, FWP006, HsT17725, MEAF3, MGC10631, MORFRG15, Esa1p-associated factor 3 homolog, MORF-related gene on chromosome 15

    Gene ID

    10933, 21761

    NCBI Accession

    NP_006782, NP_996670

    Pathways

    Chromatin Binding
You are here:
Chat with us!