Phone:
+1 877 302 8632
Fax:
+1 888 205 9894 (Toll-free)
E-Mail:
orders@antibodies-online.com

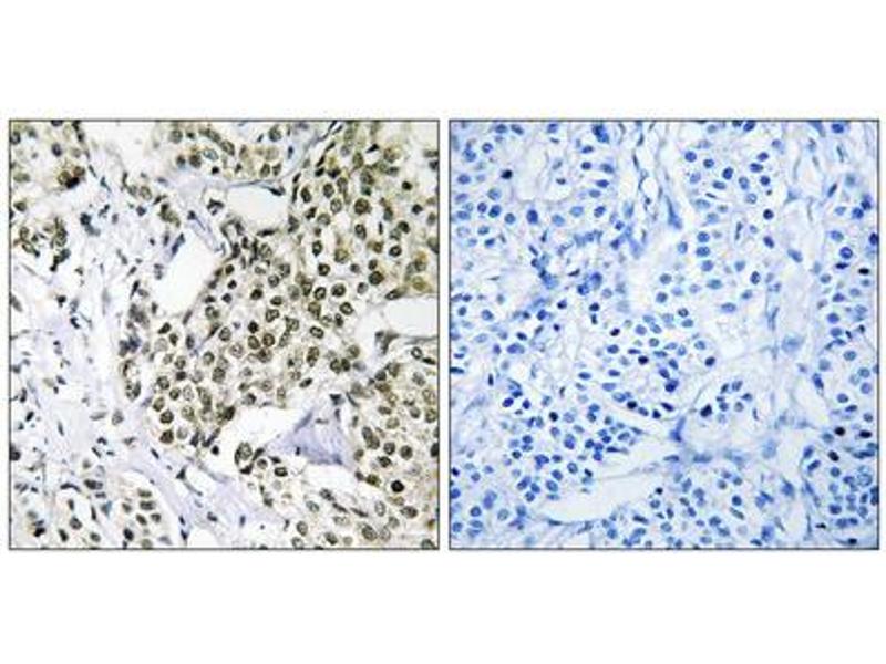
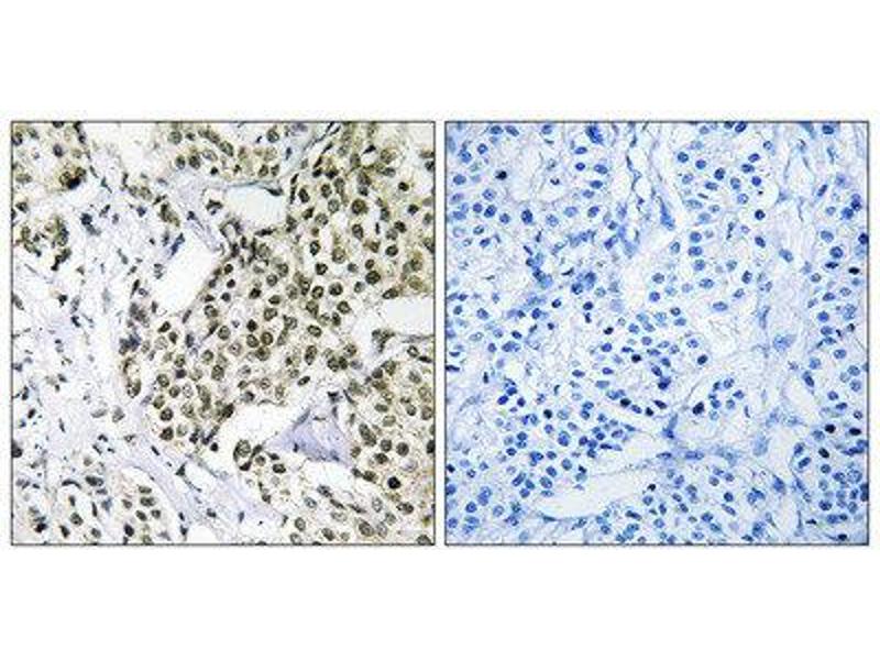
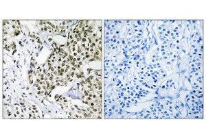
CAGE1 antibody (C-Term)

The Rabbit Polyclonal anti-CAGE1 antibody (ABIN1850982) specifically detects CAGE1 in ELISA, WB and IHC. The antibody is reactive with Human samples.
Catalog No. ABIN1850982
$418.76
Plus shipping costs $50.00
Shipping to: United States
Delivery in 10 to 18 Business Days

Quick Overview for CAGE1 antibody (C-Term) (ABIN1850982)

Target

CAGE1 (Cancer Antigen 1 (CAGE1))

Reactivity

  • 23
  • 3
  • 1
  • 1
Human

Host

  • 20
  • 2
  • 1
Rabbit

Clonality

  • 22
  • 1
Polyclonal

Conjugate

  • 16
  • 1
  • 1
  • 1
  • 1
  • 1
  • 1
  • 1
This CAGE1 antibody is un-conjugated

Application

  • 14
  • 9
  • 6
  • 2
  • 2
  • 1
  • 1
  • 1
  • 1
  • 1
ELISA, Western Blotting (WB), Immunohistochemistry (IHC)
  • Binding Specificity

    • 4
    • 2
    • 2
    • 1
    • 1
    • 1
    • 1
    • 1
    • 1
    • 1
    • 1
    C-Term

    Specificity

    Rabbit polyclonal antibody against CAGE1 protein.

    Purification

    The antibody was affinity-purified from rabbit antiserum by affinity-chromatography using epitope-specific immunogen

    Immunogen

    The antiserum was produced against synthesized peptide derived from C-terminal of human CAGE1.
  • Restrictions

    For Research Use only
  • Storage

    -20 °C

    Storage Comment

    Aliquot and store at -20 °C. Avoid repeated freeze/thaw cycles.
  • Target

    CAGE1 (Cancer Antigen 1 (CAGE1))

    Alternative Name

    CAGE1

    UniProt

    Q8TC20
You are here:
Chat with us!