Phone:
+1 877 302 8632
Fax:
+1 888 205 9894 (Toll-free)
E-Mail:
orders@antibodies-online.com

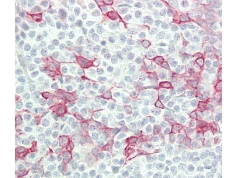
IFNA4 antibody (C-Term)

There are 3+ publications for this product available. The Rabbit Polyclonal anti-IFNA4 antibody is suitable to detect IFNA4 in samples from Human. It has been validated for WB and IHC (p).
Catalog No. ABIN1881446
$451.00
Plus shipping costs $50.00
Shipping to: United States
Delivery in 10 to 12 Business Days

Quick Overview for IFNA4 antibody (C-Term) (ABIN1881446)

Target

See all IFNA4 (IFNa4) Antibodies
IFNA4 (IFNa4) (Interferon, alpha 4 (IFNa4))

Reactivity

  • 17
  • 5
  • 1
  • 1
  • 1
  • 1
  • 1
  • 1
Human

Host

  • 19
  • 3
Rabbit

Clonality

  • 21
  • 1
Polyclonal

Conjugate

  • 16
  • 3
  • 2
  • 1
This IFNA4 antibody is un-conjugated

Application

  • 18
  • 8
  • 8
  • 3
  • 3
  • 2
  • 1
  • 1
Western Blotting (WB), Immunohistochemistry (Paraffin-embedded Sections) (IHC (p))

Clone

RB45600
  • Binding Specificity

    • 6
    • 4
    • 3
    • 2
    • 2
    • 1
    AA 162-189, C-Term

    Purification

    This antibody is purified through a protein A column, followed by peptide affinity purification.

    Immunogen

    This IFNA4 antibody is generated from rabbits immunized with a KLH conjugated synthetic peptide between 162-189 amino acids from the C-terminal region of human IFNA4.

    Isotype

    Ig Fraction
  • Application Notes

    WB: 1:1000. IHC-P: 1:100. IHC-P: 1:100

    Restrictions

    For Research Use only
  • Format

    Liquid

    Buffer

    Purified polyclonal antibody supplied in PBS with 0.09 % (W/V) sodium azide.

    Preservative

    Sodium azide

    Precaution of Use

    This product contains Sodium azide: a POISONOUS AND HAZARDOUS SUBSTANCE which should be handled by trained staff only.

    Storage

    4 °C,-20 °C

    Expiry Date

    6 months
  • Humphray, Oliver, Hunt, Plumb, Loveland, Howe, Andrews, Searle, Hunt, Scott, Jones, Ainscough, Almeida, Ambrose, Ashwell, Babbage, Babbage, Bagguley, Bailey, Banerjee, Barker, Barlow, Bates, Beasley et al.: "DNA sequence and analysis of human chromosome 9. ..." in: Nature, Vol. 429, Issue 6990, pp. 369-74, (2004) (PubMed).

    Henco, Brosius, Fujisawa, Fujisawa, Haynes, Hochstadt, Kovacic, Pasek, Schamböck, Schmid: "Structural relationship of human interferon alpha genes and pseudogenes." in: Journal of molecular biology, Vol. 185, Issue 2, pp. 227-60, (1985) (PubMed).

    Linnane, Beilharz, McMullen, Macreadie, Murphy, Nisbet, Novitski, Woodrow: "Nucleotide sequence and expression in E. coli of a human interferon-alpha gene selected from a genomic library using synthetic oligonucleotides." in: Biochemistry international, Vol. 8, Issue 5, pp. 725-32, (1984) (PubMed).

  • Target

    IFNA4 (IFNa4) (Interferon, alpha 4 (IFNa4))

    Alternative Name

    IFNA4

    Background

    Produced by macrophages, IFN-alpha have antiviral activities. Interferon stimulates the production of two enzymes: a protein kinase and an oligoadenylate synthetase.

    Molecular Weight

    21808

    NCBI Accession

    NP_066546

    UniProt

    P05014

    Pathways

    JAK-STAT Signaling, Hepatitis C
You are here:
Chat with us!