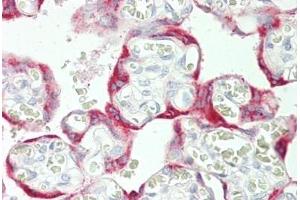
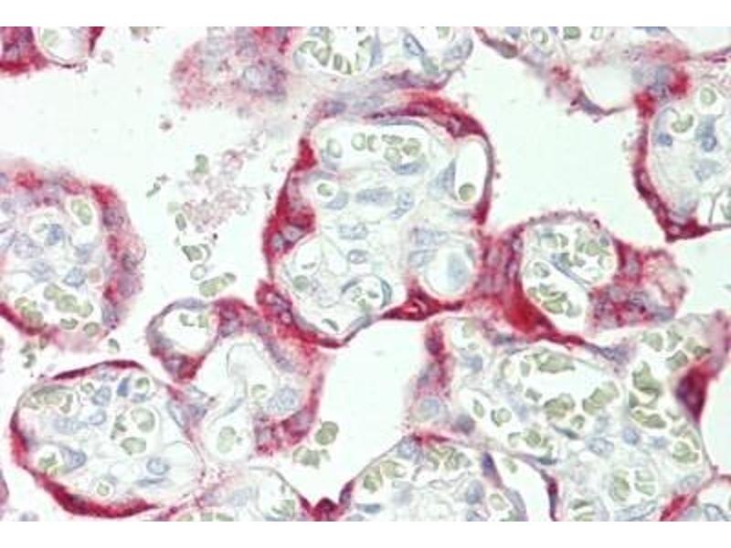
AMFR antibody (AA 371-400)
Quick Overview for AMFR antibody (AA 371-400) (ABIN1899405)
Target
See all AMFR AntibodiesReactivity
Host
Clonality
Conjugate
Application
-
-
Binding Specificity
- AA 371-400
-
Specificity
- This AMFR antibody is generated from rabbits immunized with a KLH conjugated synthetic peptide between 371-400 amino acids from the Central region of human AMFR.
-
Purification
- Protein A purified
-
-
-
-
Application Notes
- Approved: IHC, IHC-P (1:50), WB (1:1000)
-
Comment
-
Target Species of Antibody: Human
-
Restrictions
- For Research Use only
-
-
-
Format
- Liquid
-
Concentration
- Lot specific
-
Buffer
- PBS, 0.09 % sodium azide
-
Preservative
- Sodium azide
-
Precaution of Use
- This product contains Sodium azide: a POISONOUS AND HAZARDOUS SUBSTANCE which should be handled by trained staff only.
-
Storage
- 4 °C,-20 °C
-
Storage Comment
- Maintain refrigerated at 2-8°C for up to 6 months. For long term storage store at -20°C.
-
Expiry Date
- 6 months
-
-
- AMFR (Autocrine Motility Factor Receptor (AMFR))
-
Alternative Name
- GP78 / AMFR
-
Background
-
Name/Gene ID: AMFR
Synonyms: AMFR, AMF receptor, isoform 1, AMF receptor, isoform 2, gp78, RNF45, RING finger protein 45 -
Gene ID
- 267
-
Pathways
- ER-Nucleus Signaling
Target
-