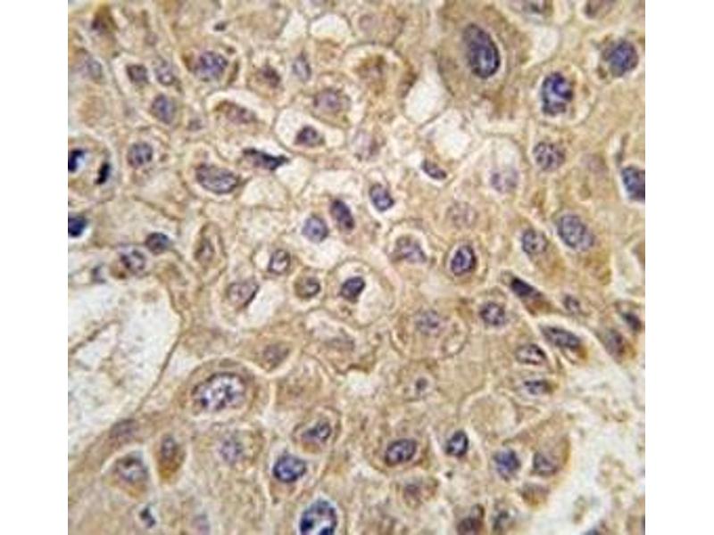
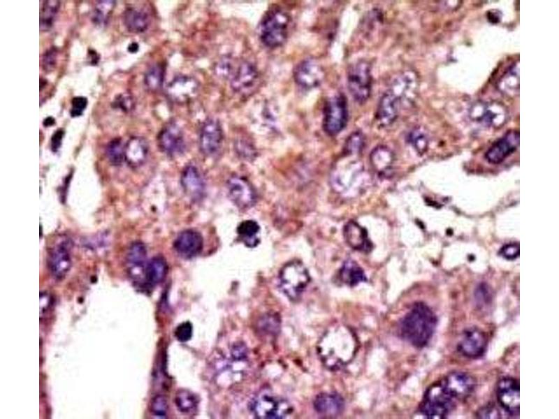
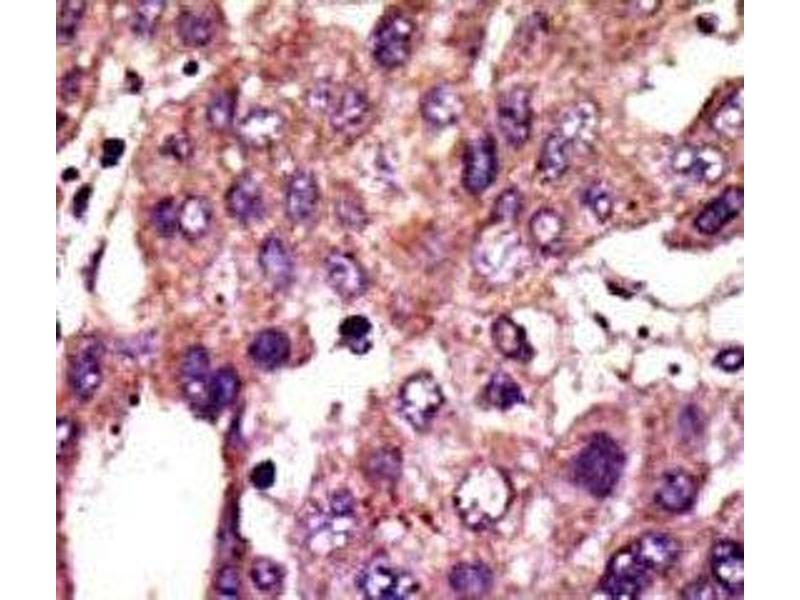
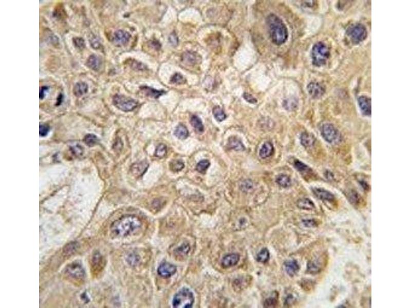
AMFR antibody (AA 571-601)
Quick Overview for AMFR antibody (AA 571-601) (ABIN3030083)
Target
See all AMFR AntibodiesReactivity
Host
Clonality
Conjugate
Application
-
-
Binding Specificity
- AA 571-601
-
Purification
- Purified
-
Immunogen
- A portion of amino acids 571-601 from the human protein was used as the immunogen for this AMFR antibody.
-
Isotype
- Ig Fraction
-
-
-
-
Application Notes
- Titration of the AMFR antibody may be required due to differences in protocols and secondary/substrate sensitivity.\. Western blot: 1:1000,IHC (Paraffin): 1:50-1:100,Flow Cytometry: 1:10-1:50
-
Restrictions
- For Research Use only
-
-
-
Format
- Liquid
-
Buffer
- In 1X PBS pH 7.4 with 0.09 % sodium azide
-
Preservative
- Sodium azide
-
Precaution of Use
- This product contains Sodium azide: a POISONOUS AND HAZARDOUS SUBSTANCE which should be handled by trained staff only.
-
Storage
- -20 °C
-
Storage Comment
- Aliquot the AMFR antibody and store frozen at -20°C or colder. Avoid repeated freeze-thaw cycles.
-
-
- AMFR (Autocrine Motility Factor Receptor (AMFR))
-
Alternative Name
- AMFR
-
Background
- Autocrine motility factor receptor is involved in cell motility via its binding to AMF.
-
UniProt
- Q9UKV5
-
Pathways
- ER-Nucleus Signaling
Target
-