Phone:
+1 877 302 8632
Fax:
+1 888 205 9894 (Toll-free)
E-Mail:
orders@antibodies-online.com

TIA1 antibody (Internal Region)

The Goat Polyclonal anti-TIA1 antibody is suitable to detect TIA1 in samples from Human. It has been validated for WB, IF, IHC and ELISA.
Catalog No. ABIN190808
$488.25
Plus shipping costs $50.00
100 μg
Shipping to: United States
Delivery in 1 to 3 Business Days

Quick Overview for TIA1 antibody (Internal Region) (ABIN190808)

Target

See all TIA1 Antibodies
TIA1 (TIA1 Cytotoxic Granule-Associated RNA Binding Protein (TIA1))

Reactivity

  • 88
  • 40
  • 30
  • 5
  • 5
  • 5
  • 4
  • 3
  • 2
  • 1
  • 1
  • 1
Human

Host

  • 71
  • 17
Goat

Clonality

  • 50
  • 38
Polyclonal

Conjugate

  • 40
  • 6
  • 3
  • 3
  • 3
  • 3
  • 3
  • 3
  • 3
  • 1
  • 1
  • 1
  • 1
  • 1
  • 1
  • 1
  • 1
  • 1
  • 1
  • 1
  • 1
  • 1
  • 1
  • 1
  • 1
  • 1
  • 1
  • 1
  • 1
  • 1
This TIA1 antibody is un-conjugated

Application

  • 55
  • 30
  • 26
  • 18
  • 17
  • 15
  • 14
  • 13
  • 13
  • 6
  • 5
  • 3
  • 1
Western Blotting (WB), Immunofluorescence (IF), Immunohistochemistry (IHC), ELISA

Grade

Verified
  • Binding Specificity

    • 15
    • 10
    • 5
    • 4
    • 3
    • 2
    • 2
    • 2
    • 2
    • 2
    • 2
    • 1
    • 1
    • 1
    • 1
    • 1
    Internal Region

    Purpose

    TIA1

    Sequence

    PKSTYESNTK Q

    Specificity

    This antibody is expected to recognise both reported isoforms (NP_071320.1 and NP_071505.1).

    Cross-Reactivity

    Dog, Human, Mouse, Rat

    Purification

    Purified from goat serum by ammonium sulphate precipitation followed by antigen affinity chromatography using the immunizing peptide.

    Immunogen

    Peptide with sequence C-PKSTYESNTKQ, from the internal region of the protein sequence according to NP_071320.1, NP_071505.1.

    Isotype

    IgG
  • Application Notes

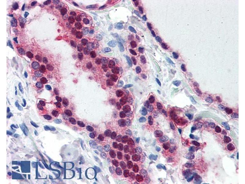
    Immunohistochemistry: Paraffin embedded Human Thyroid. Recommended concentration: 3.75 μg/mL.

    Western Blot: Approx 40 kDa band observed in lysates of cell line Jurkat (calculated MW of 41.8 kDa according to NP_071320.1). Recommended concentration: 0.1-0.3 μg/mL. Primary incubation was 1 hour. An additional band at 80 kDa and a very strong 26 kDa is a

    Peptide ELISA: antibody detection limit dilution 1:128000.

    Comment

    Immunofluorescence: Strong expression of the protein seen in the nucleus and cytoplasm of HeLa cells. Recommended concentration: 5μg/ml.

    Restrictions

    For Research Use only
  • Format

    Liquid

    Concentration

    0.5 mg/mL

    Buffer

    Supplied at 0.5 mg/mL in Tris saline, 0.02 % sodium azide, pH 7.3 with 0.5 % bovine serum albumin.

    Preservative

    Sodium azide

    Precaution of Use

    This product contains Sodium azide: a POISONOUS AND HAZARDOUS SUBSTANCE which should be handled by trained staff only.

    Handling Advice

    Minimize freezing and thawing.

    Storage

    -20 °C

    Storage Comment

    Aliquot and store at -20°C, with minimal freeze/thawing. A working aliquot may be refrigerated at 4°C for a few weeks and still remain viable.
  • Target

    TIA1 (TIA1 Cytotoxic Granule-Associated RNA Binding Protein (TIA1))

    Alternative Name

    TIA1

    Background

    TIA1, TIA1 cytotoxic granule-associated RNA binding protein , TIA1 cytotoxic granule-associated RNA-binding protein, TIA1 protein, cytotoxic granule-associated RNA-binding protein, p40-TIA-1 (containing p15-TIA-1)

    Gene ID

    7072, 21841, 312510

    NCBI Accession

    NP_071320, NP_071505
You are here:
Chat with us!