TIA1 antibody
Quick Overview for TIA1 antibody (ABIN7245701)
Target
See all TIA1 AntibodiesReactivity
Host
Clonality
Conjugate
Application
-
-
Characteristics
- Polyclonal Antibody
-
Purification
- Antigen affinity purification
-
Immunogen
- Full length fusion protein
-
Isotype
- IgG
-
-
-
-
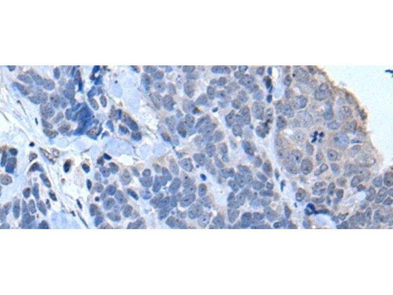
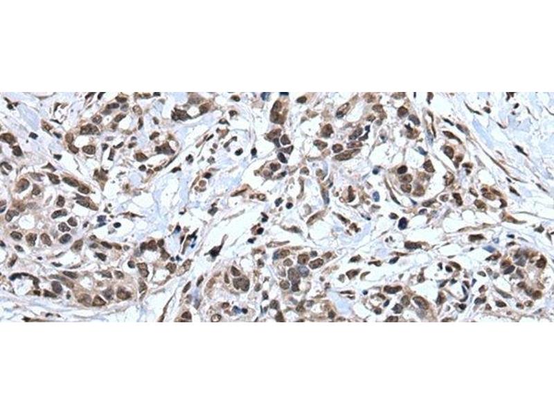
Application Notes
- WB 1:500-1:2000, IHC 1:25-1:100, ELISA 1:5000-1:10000
-
Restrictions
- For Research Use only
-
-
-
Format
- Liquid
-
Concentration
- 0.4 mg/mL
-
Buffer
- PBS with 0.05 % Sodium azide and 40 % Glycerol, pH 7.4
-
Preservative
- Sodium azide
-
Precaution of Use
- This product contains Sodium azide: a POISONOUS AND HAZARDOUS SUBSTANCE which should be handled by trained staff only.
-
Storage
- -20 °C
-
Storage Comment
- Store at -20°C. Avoid freeze / thaw cycles.
-
-
- TIA1 (TIA1 Cytotoxic Granule-Associated RNA Binding Protein (TIA1))
-
Alternative Name
- TIA1
-
Background
- The product encoded by this gene is a member of a RNA-binding protein family and possesses nucleolytic activity against cytotoxic lymphocyte (CTL) target cells. It has been suggested that this protein may be involved in the induction of apoptosis as it preferentially recognizes poly(A) homopolymers and induces DNA fragmentation in CTL targets. The major granule-associated species is a 15- kDa protein that is thought to be derived from the carboxyl terminus of the 40- kDa product by proteolytic processing. Alternative splicing resulting in different isoforms of this gene product has been described in the literature.
-
Molecular Weight
-
Observed_MW: Refer to figures
Calculated_MW: 43 kDa
-
UniProt
- P31483
Target
-