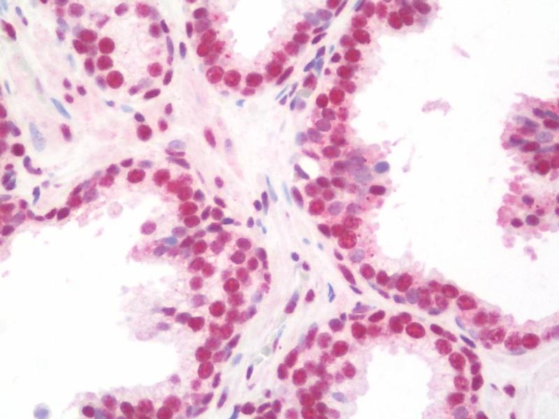
WHSC2 antibody (AA 280-511)
Quick Overview for WHSC2 antibody (AA 280-511) (ABIN1916819)
Target
See all WHSC2 AntibodiesReactivity
Host
Clonality
Conjugate
Application
Clone
-
-
Binding Specificity
- AA 280-511
-
Specificity
- Human, Rat
-
Purification
- Protein G purified
-
Immunogen
- Purified recombinant fragment of human WHSC2 (AA: 280-511) expressed in E. Coli.
-
Isotype
- IgG2b
-
-
-
-
Application Notes
- Approved: ELISA (1:10000), Flo (1:200 - 1:400), IF (1:200 - 1:1000), IHC, IHC-P (10 μg/mL), WB (1:100 - 1:500)
-
Comment
-
Target Species of Antibody: Human
-
Restrictions
- For Research Use only
-
-
-
Format
- Liquid
-
Concentration
- Lot specific
-
Buffer
- Purified antibody in PBS containing 0.05 % sodium azide
-
Preservative
- Sodium azide
-
Precaution of Use
- This product contains Sodium azide: a POISONOUS AND HAZARDOUS SUBSTANCE which should be handled by trained staff only.
-
Storage
- 4 °C,-20 °C
-
Storage Comment
-
Short term: 4°C
Long term: -20°C.
-
-
- WHSC2 (Wolf-Hirschhorn Syndrome Candidate 2 (WHSC2))
-
Alternative Name
- NELFA / WHSC2
-
Background
-
Name/Gene ID: NELFA
Synonyms: NELFA, Negative elongation factor A, NELF-A, P/OKcl.15, WHSC2 -
Gene ID
- 7469
-
Pathways
- Chromatin Binding
Target
-