Phone:
+1 877 302 8632
Fax:
+1 888 205 9894 (Toll-free)
E-Mail:
orders@antibodies-online.com

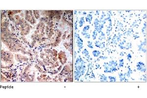
PRKAA1 antibody (Thr174)

This Rabbit Polyclonal antibody specifically detects PRKAA1 in WB, IF and IHC (p). It exhibits reactivity toward Human, Mouse and Rat.
Catalog No. ABIN197410
$588.00
Plus shipping costs $50.00
Shipping to: United States
Delivery in 1 to 2 Business Days

Quick Overview for PRKAA1 antibody (Thr174) (ABIN197410)

Target

See all PRKAA1 Antibodies
PRKAA1 (Protein Kinase, AMP-Activated, alpha 1 Catalytic Subunit (PRKAA1))

Reactivity

  • 208
  • 142
  • 100
  • 25
  • 10
  • 8
  • 8
  • 8
  • 7
  • 7
  • 5
  • 5
  • 4
  • 3
  • 2
  • 2
  • 1
  • 1
  • 1
Human, Mouse, Rat

Host

  • 208
  • 19
  • 1
Rabbit

Clonality

  • 154
  • 74
Polyclonal

Conjugate

  • 99
  • 14
  • 9
  • 9
  • 6
  • 6
  • 6
  • 6
  • 6
  • 6
  • 5
  • 4
  • 4
  • 4
  • 4
  • 4
  • 4
  • 4
  • 4
  • 4
  • 4
  • 4
  • 4
  • 4
  • 3
  • 1
This PRKAA1 antibody is un-conjugated

Application

  • 185
  • 65
  • 61
  • 60
  • 42
  • 40
  • 40
  • 38
  • 36
  • 13
  • 13
  • 3
  • 2
  • 1
Western Blotting (WB), Immunofluorescence (IF), Immunohistochemistry (Paraffin-embedded Sections) (IHC (p))
You are here:
Chat with us!