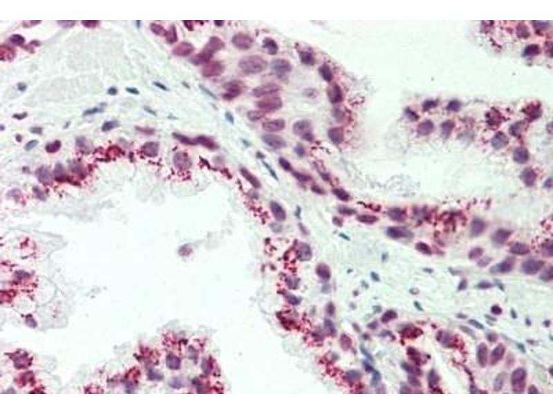
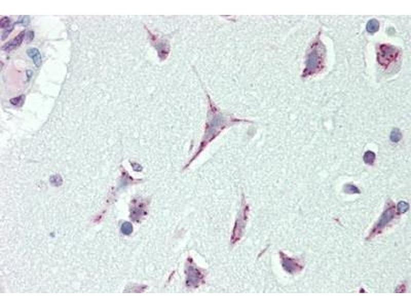
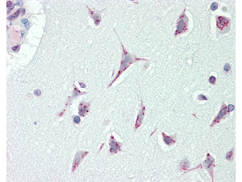
CASC4 antibody (AA 336-365)
Quick Overview for CASC4 antibody (AA 336-365) (ABIN1977267)
Target
See all CASC4 AntibodiesReactivity
Host
Clonality
Conjugate
Application
-
-
Binding Specificity
- AA 336-365
-
Specificity
- This CASC4 antibody is generated from rabbits immunized with a KLH conjugated synthetic peptide between 336-365 amino acids from the C-terminal region of human CASC4.
-
Purification
- Protein A purified
-
-
-
-
Application Notes
- Approved: Flo (1:10 - 1:50), IHC, IHC-P (1:100), WB (1:1000)
-
Comment
-
Target Species of Antibody: Human
-
Restrictions
- For Research Use only
-
-
-
Format
- Liquid
-
Concentration
- Lot specific
-
Buffer
- PBS, 0.09 % sodium azide
-
Preservative
- Sodium azide
-
Precaution of Use
- This product contains Sodium azide: a POISONOUS AND HAZARDOUS SUBSTANCE which should be handled by trained staff only.
-
Storage
- 4 °C,-20 °C
-
Storage Comment
- Maintain refrigerated at 2-8°C for up to 6 months. For long term storage store at -20°C.
-
Expiry Date
- 6 months
-
-
- CASC4 (Cancer Susceptibility Candidate 4 (CASC4))
-
Alternative Name
- CASC4
-
Background
-
Name/Gene ID: CASC4
Synonyms: CASC4, H63, Protein CASC4 -
Gene ID
- 113201
Target
-