Phone:
+1 877 302 8632
Fax:
+1 888 205 9894 (Toll-free)
E-Mail:
orders@antibodies-online.com

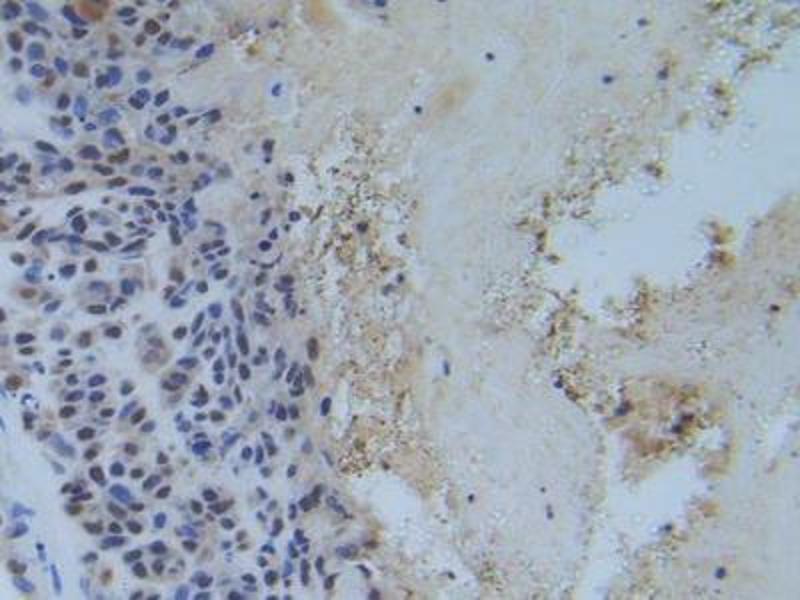
RFTN1 antibody (AA 288-520)

The Rabbit Polyclonal anti-RFTN1 antibody (ABIN1980498) specifically detects RFTN1 in WB, IHC, IP and ICC. The antibody is reactive with Human samples.
Catalog No. ABIN1980498
$269.00
Plus shipping costs $50.00
Shipping to: United States
Delivery in 15 to 19 Business Days

Quick Overview for RFTN1 antibody (AA 288-520) (ABIN1980498)

Target

See all RFTN1 Antibodies
RFTN1 (Raftlin, Lipid Raft Linker 1 (RFTN1))

Reactivity

  • 11
  • 6
  • 3
  • 1
Human

Host

  • 12
Rabbit

Clonality

  • 12
Polyclonal

Conjugate

  • 12
This RFTN1 antibody is un-conjugated

Application

  • 12
  • 5
  • 4
  • 4
  • 2
  • 2
  • 1
Western Blotting (WB), Immunohistochemistry (IHC), Immunoprecipitation (IP), Immunocytochemistry (ICC)
  • Binding Specificity

    • 2
    • 1
    • 1
    • 1
    • 1
    • 1
    • 1
    • 1
    • 1
    • 1
    AA 288-520

    Purpose

    Polyclonal Antibody to Raft Linking Protein (Raftlin)

    Specificity

    The antibody is a rabbit polyclonal antibody raised against Raftlin. It has been selected for its ability to recognize Raftlin in immunohistochemical staining and western blotting.

    Purification

    Antigen-specific affinity chromatography followed by Protein A affinity chromatography

    Immunogen

    Recombinant Raft Linking Protein (Raftlin) corresdonding to Ser288~Leu520 (Accession # Q14699)

    Isotype

    IgG
  • Application Notes

    Western blotting: 0.01-2 μg/mL,Immunohistochemistry: 5-20 μg/mL,Immunocytochemistry: 5-20 μg/mL,Optimal working dilutions must be determined by end user.

    Comment

    The thermal stability is described by the loss rate. The loss rate was determined by accelerated thermal degradation test, that is, incubate the protein at 37°C for 48h, and no obvious degradation and precipitation were observed. The loss rate is less than 5% within the expiration date under appropriate storage condition.

    Restrictions

    For Research Use only
  • Format

    Liquid

    Concentration

    500 μg/mL

    Buffer

    PBS, pH 7.4, containing 0.02 % Sodium azide, 50 % glycerol.

    Preservative

    Sodium azide

    Handling Advice

    Avoid repeated freeze-thaw cycles.

    Storage

    4 °C,-20 °C

    Storage Comment

    Store at 4°C for frequent use. Stored at -20°C in a manual defrost freezer for two year without detectable loss of activity. Avoid repeated freeze-thaw cycles.

    Expiry Date

    24 months
  • Target

    RFTN1 (Raftlin, Lipid Raft Linker 1 (RFTN1))

    Alternative Name

    Raftlin

    Background

    RFTN1, MIG2, Raftlin, Lipid Raft Linker 1, Cell migration-inducing gene 2 protein
You are here:
Chat with us!