Phone:
+1 877 302 8632
Fax:
+1 888 205 9894 (Toll-free)
E-Mail:
orders@antibodies-online.com

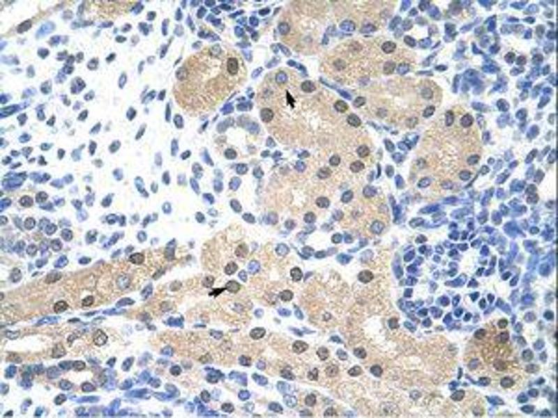
RNASEH2A antibody (C-Term)

The Rabbit Polyclonal anti-RNASEH2A antibody (ABIN202188) specifically detects RNASEH2A in WB, IHC and IHC (p). The antibody is reactive with Human, Zebrafish (Danio rerio), Cow, Horse, Pig, Bat and Monkey samples.
Catalog No. ABIN202188
$649.00
Plus shipping costs $50.00
100 μL
Shipping to: United States
Delivery in 11 to 15 Business Days

Quick Overview for RNASEH2A antibody (C-Term) (ABIN202188)

Target

See all RNASEH2A Antibodies
RNASEH2A (Ribonuclease H2, Subunit A (RNASEH2A))

Reactivity

  • 24
  • 6
  • 5
  • 3
  • 1
  • 1
  • 1
  • 1
  • 1
  • 1
Human, Zebrafish (Danio rerio), Cow, Horse, Pig, Bat, Monkey

Host

  • 23
  • 4
Rabbit

Clonality

  • 26
  • 1
Polyclonal

Conjugate

  • 24
  • 1
  • 1
  • 1
This RNASEH2A antibody is un-conjugated

Application

  • 22
  • 11
  • 11
  • 6
  • 5
  • 5
  • 1
  • 1
  • 1
Western Blotting (WB), Immunohistochemistry (IHC), Immunohistochemistry (Paraffin-embedded Sections) (IHC (p))
  • Binding Specificity

    • 6
    • 4
    • 2
    • 2
    • 2
    • 1
    • 1
    • 1
    • 1
    • 1
    • 1
    C-Term

    Specificity

    Human RNASEH2A

    Predicted Reactivity

    Percent identity by BLAST analysis: Human, Pig, Zebrafish (100%) Mouse, Rat, Xenopus (92%).

    Purification

    Protein A purified

    Immunogen

    Synthetic peptide from C-Terminus of human RNASEH2A (O75792, NP_006388). Percent identity by BLAST analysis: Human, Gorilla, Gibbon, Monkey, Marmoset, Bovine, Bat, Horse, Pig, Opossum, Platypus, Stickleback, Zebrafish (100%), Galago, Mouse, Rat, Elephant, Panda, Dog, Xenopus (92%).

    Type of Immunogen: Synthetic peptide

    Isotype

    IgG
  • Application Notes

    Approved: IHC, IHC-P, WB (1.25 μg/mL)

    Comment

    Target Species of Antibody: Human

    Restrictions

    For Research Use only
  • Format

    Lyophilized

    Reconstitution

    After adding water, will consist of PBS buffer with 2 % sucrose

    Concentration

    Lot specific

    Buffer

    Lyophilized from PBS with 2 % sucrose

    Handling Advice

    Avoid repeat freeze-thaw cycles.

    Storage

    4 °C,-20 °C

    Storage Comment

    Long term: -20°C, the use of 50% glycerol is recommended if storing aliquots in -20°C for long term use (up to 1 year)
    Short term (less than 1 week): 4°C. Avoid freeze-thaw cycles.
  • Target

    RNASEH2A (Ribonuclease H2, Subunit A (RNASEH2A))

    Alternative Name

    RNASEH2A

    Background

    Name/Gene ID: RNASEH2A

    Synonyms: RNASEH2A, AGS4, Aicardi-Goutieres syndrome 4, Ribonuclease HI, large subunit, Ribonuclease HI large subunit, RNase H(35), RNase H2 subunit A, RNase HI large subunit, RNHIA, RNHL, Ribonuclease H2, large subunit, Ribonuclease HI subunit A, RNASEHI, Ribonuclease H2 subunit A, Ribonuclease H2, subunit A

    Gene ID

    10535

    NCBI Accession

    NP_006388

    UniProt

    O75792
You are here:
Chat with us!