Phone:
+1 877 302 8632
Fax:
+1 888 205 9894 (Toll-free)
E-Mail:
orders@antibodies-online.com

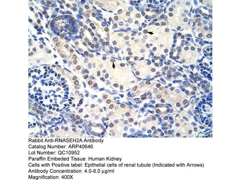
RNASEH2A antibody (C-Term)

This Rabbit Polyclonal antibody specifically detects RNASEH2A in WB and IHC. It exhibits reactivity toward Human.
Catalog No. ABIN2778984
$483.54
Plus shipping costs $50.00
Shipping to: United States
Delivery in 2 to 4 Business Days

Quick Overview for RNASEH2A antibody (C-Term) (ABIN2778984)

Target

See all RNASEH2A Antibodies
RNASEH2A (Ribonuclease H2, Subunit A (RNASEH2A))

Reactivity

  • 24
  • 6
  • 5
  • 4
  • 2
  • 2
  • 2
  • 1
  • 1
  • 1
  • 1
  • 1
Human

Host

  • 23
  • 4
Rabbit

Clonality

  • 26
  • 1
Polyclonal

Conjugate

  • 24
  • 1
  • 1
  • 1
This RNASEH2A antibody is un-conjugated

Application

  • 22
  • 11
  • 11
  • 6
  • 5
  • 5
  • 1
  • 1
  • 1
  • 1
Western Blotting (WB), Immunohistochemistry (IHC)
  • Binding Specificity

    • 6
    • 4
    • 2
    • 2
    • 2
    • 1
    • 1
    • 1
    • 1
    • 1
    • 1
    C-Term

    Sequence

    EKEAEDVIWE DSASENQEGL RKITSYFLNE GSQARPRSSH RYFLERGLES

    Predicted Reactivity

    Human: 100%

    Characteristics

    This is a rabbit polyclonal antibody against RNASEH2A. It was validated on Western Blot and immunohistochemistry.

    Purification

    Affinity Purified

    Immunogen

    The immunogen is a synthetic peptide directed towards the C terminal region of human RNASEH2A
  • Application Notes

    Optimal working dilutions should be determined experimentally by the investigator.

    Comment

    Antigen size: 299 AA

    Restrictions

    For Research Use only
  • Format

    Liquid

    Concentration

    Lot specific

    Buffer

    Liquid. Purified antibody supplied in 1x PBS buffer with 0.09 % (w/v) sodium azide and 2 % sucrose.

    Preservative

    Sodium azide

    Precaution of Use

    This product contains Sodium azide: a POISONOUS AND HAZARDOUS SUBSTANCE which should be handled by trained staff only.

    Handling Advice

    Avoid repeated freeze-thaw cycles.

    Storage

    -20 °C

    Storage Comment

    For short term use, store at 2-8°C up to 1 week. For long term storage, store at -20°C in small aliquots to prevent freeze-thaw cycles.
  • Target

    RNASEH2A (Ribonuclease H2, Subunit A (RNASEH2A))

    Alternative Name

    RNASEH2A

    Background

    Of the multiple RNases H in mammals, RNase HI is the major enzyme and shows increased activity during DNA replication. It shows more homology to the RNase HII of Escherichia coli.Of the multiple RNases H in mammals, RNase HI is the major enzyme and shows increased activity during DNA replication. It shows more homology to the RNase HII of Escherichia coli.Of the multiple RNases H in mammals, RNase HI is the major enzyme and shows increased activity during DNA replication. It shows more homology to the RNase HII of Escherichia coli.
    Alias Symbols: JUNB, RNASEHI, RNHIA, RNHL, AGS4
    Protein Interaction Partner: UBC, IPO7, UGDH, RNASEH2C, RNASEH2B, NDOR1, ITSN1,
    Protein Size: 299

    Molecular Weight

    33 kDa

    Gene ID

    10535

    NCBI Accession

    NM_006397, NP_006388

    UniProt

    O75792
You are here:
Chat with us!