Phone:
+1 877 302 8632
Fax:
+1 888 205 9894 (Toll-free)
E-Mail:
orders@antibodies-online.com

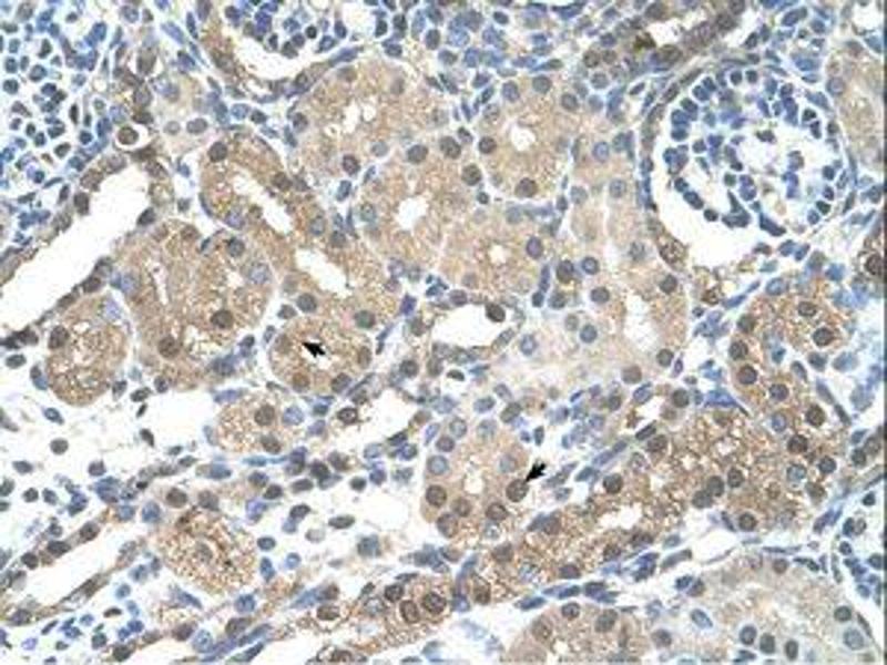
FBXL7 antibody (AA 101-150)

The Rabbit Polyclonal anti-FBXL7 antibody (ABIN203523) specifically detects FBXL7 in WB, IHC and IHC (p). The antibody is reactive with Human, Mouse, Rat, Guinea Pig and Monkey samples.
Catalog No. ABIN203523
$649.00
Plus shipping costs $50.00
100 μL
Shipping to: United States
Delivery in 11 to 15 Business Days

Quick Overview for FBXL7 antibody (AA 101-150) (ABIN203523)

Target

See all FBXL7 Antibodies
FBXL7 (F-Box and Leucine-Rich Repeat Protein 7 (FBXL7))

Reactivity

  • 6
  • 3
  • 3
  • 1
  • 1
  • 1
  • 1
Human, Mouse, Rat, Guinea Pig, Monkey

Host

  • 4
  • 2
Rabbit

Clonality

  • 4
  • 2
Polyclonal

Conjugate

  • 6
This FBXL7 antibody is un-conjugated

Application

Western Blotting (WB), Immunohistochemistry (IHC), Immunohistochemistry (Paraffin-embedded Sections) (IHC (p))
  • Binding Specificity

    • 2
    • 1
    • 1
    AA 101-150

    Specificity

    Human FBXL7

    Predicted Reactivity

    Percent identity by BLAST analysis: Human, Mouse, Rat, Guinea pig (100%) Bovine, Rabbit, Horse (92%).

    Purification

    Protein A purified

    Immunogen

    Synthetic peptide located between aa101-150 of human FBXL7 (Q9UJT9, NP_036436). Percent identity by BLAST analysis: Human, Chimpanzee, Gorilla, Gibbon, Monkey, Marmoset, Mouse, Rat, Elephant, Guinea pig (100%), Bovine, Bat, Rabbit, Horse, Pig, Opossum, Zebra finch (92%), Turkey (85%), Galago, Platypus, Xenopus (84%).

    Type of Immunogen: Synthetic peptide

    Isotype

    IgG
  • Application Notes

    Approved: IHC, IHC-P, WB (1.25 μg/mL)

    Comment

    Target Species of Antibody: Human

    Restrictions

    For Research Use only
  • Format

    Lyophilized

    Reconstitution

    After adding water, will consist of PBS buffer with 2 % sucrose

    Concentration

    Lot specific

    Buffer

    Lyophilized from PBS with 2 % sucrose

    Handling Advice

    Avoid repeat freeze-thaw cycles.

    Storage

    4 °C,-20 °C

    Storage Comment

    Long term: -20°C, the use of 50% glycerol is recommended if storing aliquots in -20°C for long term use (up to 1 year)
    Short term (less than 1 week): 4°C. Avoid freeze-thaw cycles.
  • Target

    FBXL7 (F-Box and Leucine-Rich Repeat Protein 7 (FBXL7))

    Alternative Name

    FBXL7

    Background

    Name/Gene ID: FBXL7
    Family: F-Box

    Synonyms: FBXL7, FBL6, F-box protein Fbl7, F-box/LRR-repeat protein 7, F-box protein FBL6/FBL7, FBL7, KIAA0840

    Gene ID

    23194

    NCBI Accession

    NP_036436

    UniProt

    Q9UJT9
You are here:
Chat with us!