Phone:
+1 877 302 8632
Fax:
+1 888 205 9894 (Toll-free)
E-Mail:
orders@antibodies-online.com

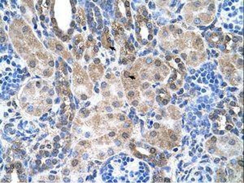
SLC6A18 antibody (AA 351-400)

This Rabbit Polyclonal antibody specifically detects SLC6A18 in WB, IHC and IHC (p). It exhibits reactivity toward Human, Rat, Mouse and Monkey.
Catalog No. ABIN205030
$637.27
Plus shipping costs $50.00
100 μL
Shipping to: United States
Delivery in 11 to 15 Business Days

Quick Overview for SLC6A18 antibody (AA 351-400) (ABIN205030)

Target

See all SLC6A18 Antibodies
SLC6A18 (Solute Carrier Family 6, Member 18 (SLC6A18))

Reactivity

  • 7
  • 5
  • 4
  • 1
  • 1
  • 1
  • 1
Human, Rat, Mouse, Monkey

Host

  • 7
Rabbit

Clonality

  • 7
Polyclonal

Conjugate

  • 7
This SLC6A18 antibody is un-conjugated

Application

Western Blotting (WB), Immunohistochemistry (IHC), Immunohistochemistry (Paraffin-embedded Sections) (IHC (p))
  • Binding Specificity

    • 2
    • 2
    • 1
    • 1
    AA 351-400

    Specificity

    Human SLC6A18

    Predicted Reactivity

    Percent identity by BLAST analysis: Rat (100%) Dog, Bovine (92%).

    Purification

    Protein A purified

    Immunogen

    Synthetic peptide located between aa351-400 of human SLC6A18 (Q96N87, NP_872438). Percent identity by BLAST analysis: Human, Gibbon, Monkey, Marmoset, Mouse, Rat (100%), Galago, Elephant, Dog, Bovine (92%), Bat, Opossum, Platypus (85%).

    Type of Immunogen: Synthetic peptide

    Isotype

    IgG
  • Application Notes

    Approved: IHC, IHC-P, WB (1.25 μg/mL)

    Comment

    Target Species of Antibody: Human

    Restrictions

    For Research Use only
  • Format

    Lyophilized

    Reconstitution

    After adding water, will consist of PBS buffer with 2 % sucrose

    Concentration

    Lot specific

    Buffer

    Lyophilized from PBS with 2 % sucrose

    Storage

    4 °C,-20 °C

    Storage Comment

    Long term: -20°C, the use of 50% glycerol is recommended if storing aliquots in -20°C for long term use (up to 1 year)
    Short term (less than 1 week): 4°C. Avoid freeze-thaw cycles.
  • Target

    SLC6A18 (Solute Carrier Family 6, Member 18 (SLC6A18))

    Alternative Name

    SLC6A18 / XTRP2

    Background

    Name/Gene ID: SLC6A18
    Subfamily: Neurotransmitter:sodium symporter
    Family: Transporter

    Synonyms: SLC6A18, Sodium channel-like protein, XT2, Xtrp2

    Gene ID

    348932

    NCBI Accession

    NP_872438

    UniProt

    Q96N87
You are here:
Chat with us!