MAP3K7 antibody (N-Term)
Quick Overview for MAP3K7 antibody (N-Term) (ABIN214285)
Target
See all MAP3K7 AntibodiesReactivity
Host
Clonality
Conjugate
Application
-
-
Binding Specificity
- N-Term
-
Purification
- Immunoaffinity purified
-
Isotype
- IgG
-
-
-
-
Application Notes
-
Approved: IF (20 μg/mL), IHC, IHC-P (2.5 μg/mL), WB (0.5 - 1 μg/mL)
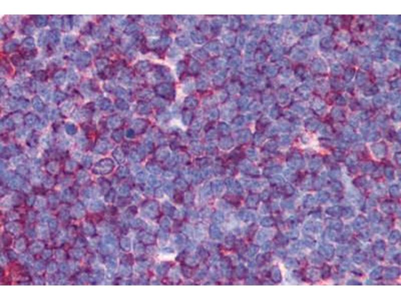
Usage: Immunohistochemistry: This antibody was validated for use in immunohistochemistry on a panel of 21 formalin-fixed, paraffin-embedded (FFPE) human tissues after heat induced antigen retrieval in pH 6.0 citrate buffer. After incubation with the primary antibody, slides were incubated with biotinylated secondary antibody, followed by alkaline phosphatase-streptavidin and chromogen. The stained slides were evaluated by a pathologist to confirm staining specificity. The optimal working concentration for this antibody was determined to be 2.5 μg/mL. -
Comment
-
Target Species of Antibody: Human
-
Restrictions
- For Research Use only
-
-
-
Format
- Liquid
-
Concentration
- Lot specific
-
Buffer
- PBS, 0.02 % sodium azide.
-
Preservative
- Sodium azide
-
Precaution of Use
- This product contains Sodium azide: a POISONOUS AND HAZARDOUS SUBSTANCE which should be handled by trained staff only.
-
Handling Advice
- avoid freeze thaw cycles. Store undiluted.
-
Storage
- 4 °C,-20 °C
-
Storage Comment
- Store at 4°C for 3 months and -20°C, stable for up to 1 year. Avoid repeated freeze-thaw cycles.
-
Expiry Date
- 12 months
-
-
- MAP3K7 (Mitogen-Activated Protein Kinase Kinase Kinase 7 (MAP3K7))
-
Alternative Name
- MAP3K7 / TAK1
-
Background
-
Name/Gene ID: MAP3K7
Subfamily: MLK(MAP3K)
Family: Protein Kinase
Synonyms: MAP3K7, MEKK7, TGF-beta activated kinase 1, TGF1a, TAK1, TGF-beta-activated kinase 1 -
Gene ID
- 6885
-
UniProt
- O43318
-
Pathways
- NF-kappaB Signaling, TCR Signaling, TLR Signaling, Fc-epsilon Receptor Signaling Pathway, Activation of Innate immune Response, Regulation of Leukocyte Mediated Immunity, Positive Regulation of Immune Effector Process, Production of Molecular Mediator of Immune Response, Tube Formation, Toll-Like Receptors Cascades, BCR Signaling, Ubiquitin Proteasome Pathway
Target
-