FANCF antibody
Quick Overview for FANCF antibody (ABIN214309)
Target
See all FANCF AntibodiesReactivity
Host
Clonality
Conjugate
Application
-
-
Specificity
- An internal amino acid sequence of human FANCF.
-
Purification
- Immunoaffinity purified
-
Immunogen
-
Synthetic peptide from human FANCF.
Type of Immunogen: Synthetic peptide
-
-
-
-
Application Notes
-
Approved: ELISA (1:15000 - 1:60000), IF, IHC, IHC-P (2.5 μg/mL), WB
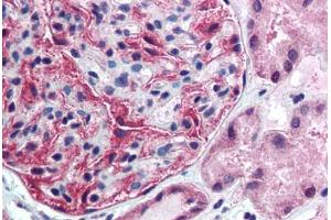
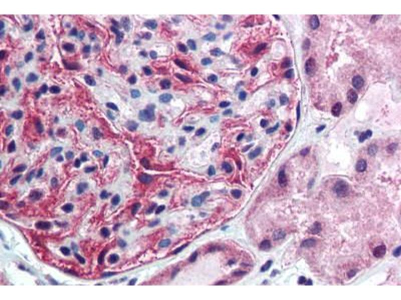
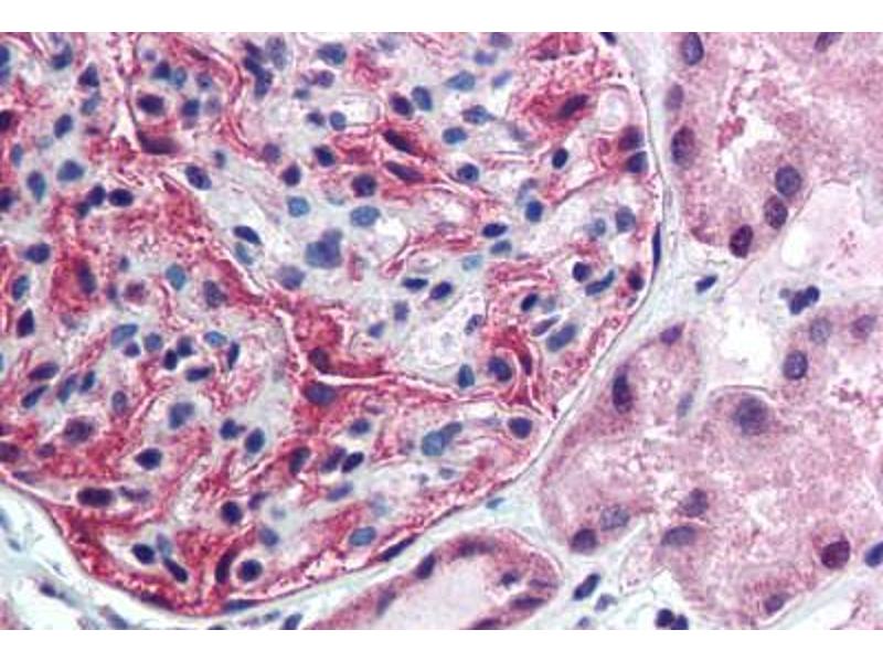
Usage: Immunohistochemistry: This antibody was validated for use in immunohistochemistry on a panel of 21 formalin-fixed, paraffin-embedded (FFPE) human tissues after heat induced antigen retrieval in pH 6.0 citrate buffer. After incubation with the primary antibody, slides were incubated with biotinylated secondary antibody, followed by alkaline phosphatase-streptavidin and chromogen. The stained slides were evaluated by a pathologist to confirm staining specificity. The optimal working concentration for this antibody was determined to be 2.5 μg/mL. -
Comment
-
Target Species of Antibody: Human
-
Restrictions
- For Research Use only
-
-
-
Format
- Liquid
-
Concentration
- Lot specific
-
Buffer
- 0.02 M potassium phosphate, 0.15 M sodium chloride, pH 7.2, 0.01 % sodium azide.
-
Preservative
- Sodium azide
-
Precaution of Use
- This product contains Sodium azide: a POISONOUS AND HAZARDOUS SUBSTANCE which should be handled by trained staff only.
-
Handling Advice
- Avoid repeated freezing and thawing.
-
Storage
- 4 °C,-20 °C
-
Storage Comment
- 4°C or -20°C, Avoid freeze-thaw cycles.
-
-
- FANCF (Fanconi Anemia, Complementation Group F (FANCF))
-
Alternative Name
- FANCF
-
Background
-
Name/Gene ID: FANCF
Synonyms: FANCF, Fanconi anemia group F protein, Protein FACF, FAF -
Gene ID
- 2188
-
UniProt
- Q9NPI8
-
Pathways
- DNA Damage Repair
Target
-