NLRP1 antibody (C-Term)
Quick Overview for NLRP1 antibody (C-Term) (ABIN214515)
Target
See all NLRP1 AntibodiesReactivity
Host
Clonality
Conjugate
Application
-
-
Binding Specificity
- C-Term
-
Purification
- Purified IgG
-
Isotype
- IgG
-
-
-
-
Application Notes
-
Approved: ICC, IHC, IHC-P (2.5 μg/mL), WB (1 - 2 μg/mL)
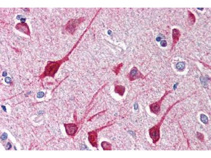
Usage: Immunohistochemistry: This antibody was validated for use in immunohistochemistry on a panel of 21 formalin-fixed, paraffin-embedded (FFPE) human tissues after heat induced antigen retrieval in pH 6.0 citrate buffer. After incubation with the primary antibody, slides were incubated with biotinylated secondary antibody, followed by alkaline phosphatase-streptavidin and chromogen. The stained slides were evaluated by a pathologist to confirm staining specificity. The optimal working concentration for this antibody was determined to be 2.5 μg/mL. -
Comment
-
Target Species of Antibody: Human
-
Restrictions
- For Research Use only
-
-
-
Format
- Liquid
-
Concentration
- Lot specific
-
Buffer
- PBS, 0.02 % sodium azide.
-
Preservative
- Sodium azide
-
Precaution of Use
- This product contains Sodium azide: a POISONOUS AND HAZARDOUS SUBSTANCE which should be handled by trained staff only.
-
Handling Advice
- avoid freeze thaw cycles. Store undiluted.
-
Storage
- 4 °C,-20 °C
-
Storage Comment
- Store at 4°C for 3 months and -20°C, stable for up to 1 year. Avoid repeated freeze-thaw cycles.
-
Expiry Date
- 12 months
-
-
- NLRP1 (NLR Family, Pyrin Domain Containing 1 (NLRP1))
-
Alternative Name
- NALP1 / NLRP1
-
Background
-
Name/Gene ID: NLRP1
Synonyms: NLRP1, CLR17.1, CARD7, DEFCAP, DEFCAP-L/S, NAC, SLEV1, VAMAS1, KIAA0926, NALP1, PP1044 -
Gene ID
- 22861
-
UniProt
- Q9C000
-
Pathways
- Positive Regulation of Endopeptidase Activity, Inflammasome
Target
-