TIMD4 antibody (C-Term)
Quick Overview for TIMD4 antibody (C-Term) (ABIN214525)
Target
See all TIMD4 AntibodiesReactivity
Host
Clonality
Conjugate
Application
-
-
Binding Specificity
- C-Term
-
Purification
- Purified
-
Isotype
- IgG
-
-
-
-
Application Notes
-
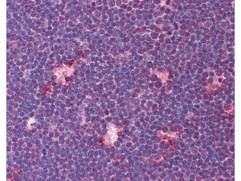
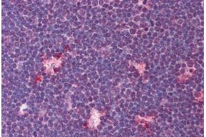
Approved: IHC, IHC-P (5 μg/mL), WB
Usage: Immunohistochemistry: This antibody was validated for use in immunohistochemistry on a panel of 21 formalin-fixed, paraffin-embedded (FFPE) human tissues after heat induced antigen retrieval in pH 6.0 citrate buffer. After incubation with the primary antibody, slides were incubated with biotinylated secondary antibody, followed by alkaline phosphatase-streptavidin and chromogen. The stained slides were evaluated by a pathologist to confirm staining specificity. The optimal working concentration for this antibody was determined to be 5 μg/mL. -
Comment
-
Target Species of Antibody: Human
-
Restrictions
- For Research Use only
-
-
-
Format
- Liquid
-
Concentration
- Lot specific
-
Buffer
- PBS, 0.02 % sodium azide.
-
Preservative
- Sodium azide
-
Precaution of Use
- This product contains Sodium azide: a POISONOUS AND HAZARDOUS SUBSTANCE which should be handled by trained staff only.
-
Handling Advice
- avoid freeze thaw cycles. Store undiluted.
-
Storage
- 4 °C,-20 °C
-
Storage Comment
- Store at 4°C for 3 months and -20°C, stable for up to 1 year. Avoid repeated freeze-thaw cycles.
-
Expiry Date
- 12 months
-
-
- TIMD4 (T-Cell Immunoglobulin and Mucin Domain Containing 4 (TIMD4))
-
Alternative Name
- TIMD4 / TIM4 / TIM-4
-
Background
-
Name/Gene ID: TIMD4
Synonyms: TIMD4, SMUCKLER, TIM-4, T-cell membrane protein 4, TIM4, TIMD-4, TIM 4 -
Gene ID
- 91937
-
UniProt
- Q96H15
-
Pathways
- Cancer Immune Checkpoints
Target
-