Phone:
+1 877 302 8632
Fax:
+1 888 205 9894 (Toll-free)
E-Mail:
orders@antibodies-online.com

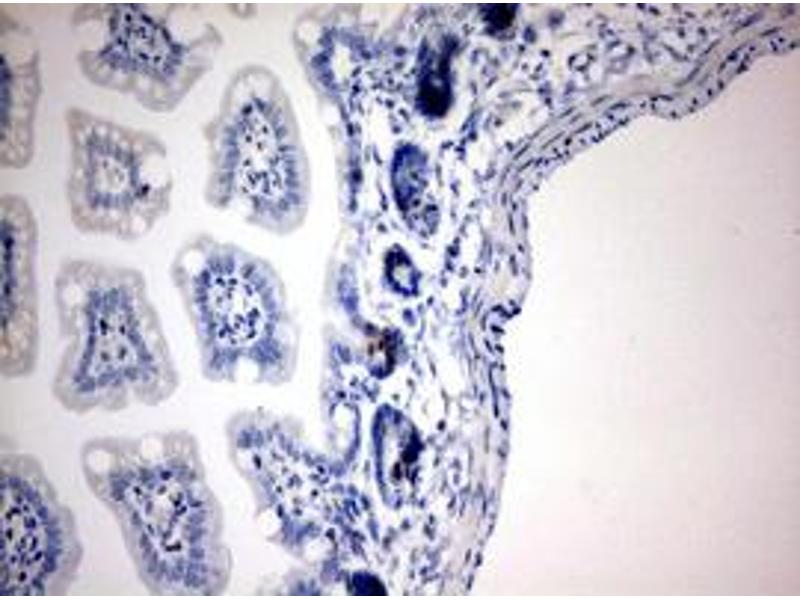
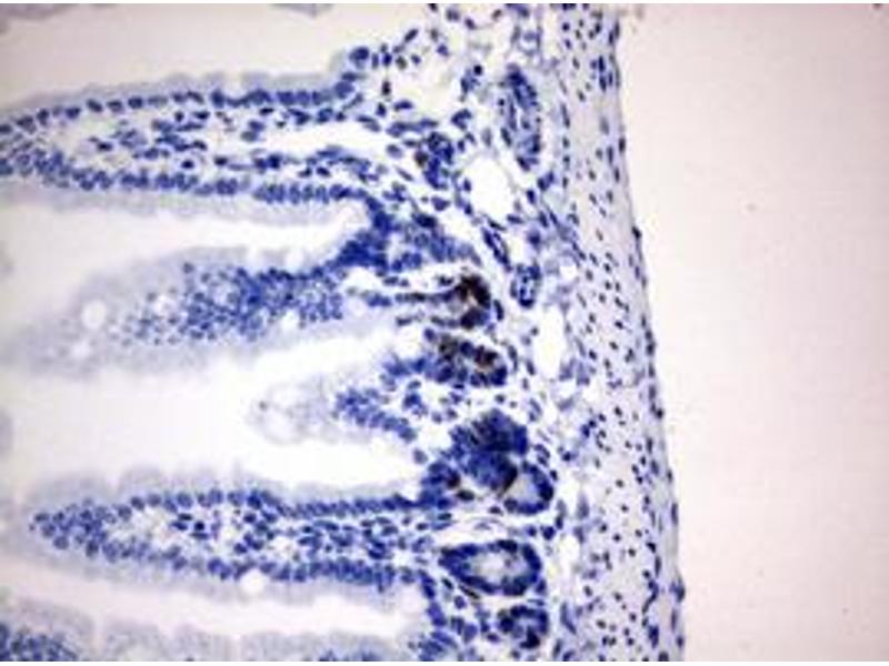
IdU antibody

This Mouse Monoclonal antibody specifically detects IdU in IHC and IF. It exhibits reactivity toward Chemical.
Catalog No. ABIN2669972
$608.40
Plus shipping costs $50.00
100 μL
Shipping to: United States
Delivery in 6 to 9 Business Days

Quick Overview for IdU antibody (ABIN2669972)

Target

IdU (Iododeoxyuridine (IdU))

Reactivity

  • 6
  • 5
Chemical

Host

  • 8
  • 3
Mouse

Clonality

  • 11
Monoclonal

Conjugate

  • 11
This IdU antibody is un-conjugated

Application

  • 7
  • 5
  • 4
  • 3
  • 3
  • 1
  • 1
  • 1
Immunohistochemistry (IHC), Immunofluorescence (IF)

Clone

OTI7C9
  • Purification

    Purified from mouse ascites fluids by affinity chromatography

    Immunogen

    Iododeoxyuridine coupled to keyhole limpet hemocyanin.

    Isotype

    IgG2a
  • Application Notes

    IHC 1:150, IF 1:150,

    Restrictions

    For Research Use only
  • Format

    Liquid

    Concentration

    5.81 mg/mL
  • Target

    IdU (Iododeoxyuridine (IdU))

    Alternative Name

    IdU
You are here:
Chat with us!