Phone:
+1 877 302 8632
Fax:
+1 888 205 9894 (Toll-free)
E-Mail:
orders@antibodies-online.com

IdU antibody

The Mouse Monoclonal anti-IdU antibody is suitable to detect IdU in samples from Chemical. It has been validated for IHC and IF. The antibody has been independently validated.
Catalog No. ABIN2669973
$608.40
Plus shipping costs $50.00
100 μL
Shipping to: United States
Delivery in 6 to 9 Business Days

Quick Overview for IdU antibody (ABIN2669973)

Target

IdU (Iododeoxyuridine (IdU))

Reactivity

  • 6
  • 5
Chemical

Host

  • 8
  • 3
Mouse

Clonality

  • 11
Monoclonal

Conjugate

  • 11
This IdU antibody is un-conjugated

Application

  • 7
  • 5
  • 4
  • 3
  • 3
  • 1
  • 1
  • 1
Immunohistochemistry (IHC), Immunofluorescence (IF)

Clone

OTI2B10
  • Purification

    Purified from mouse ascites fluids by affinity chromatography

    Immunogen

    Iododeoxyuridine coupled to keyhole limpet hemocyanin.

    Isotype

    IgG2b
  • Application Notes

    IHC 1:150, IF 1:150,

    Restrictions

    For Research Use only
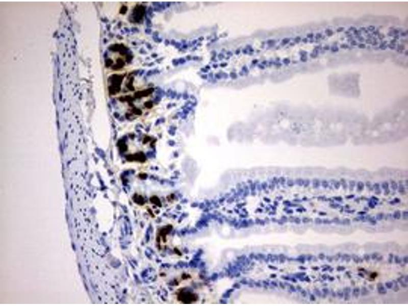
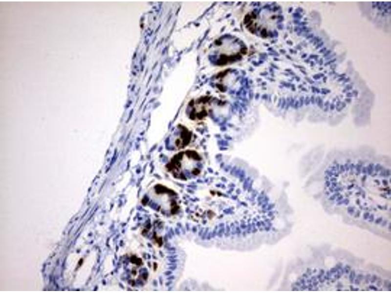
  • Validation #103750 (Immunohistochemistry)
    'Independent Validation' Badge
    by
    Prof. Merighi, Laboratory of Neurobiology, Department of Veterinary Sciences, University of Turin
    No.
    #103750
    Date
    04/19/2019
    Antigen
    IdU
    Lot Number
    W001
    Method validated
    Immunohistochemistry
    Positive Control

    Adult (24 months) mouse brain and intestine (duodenum)

    Negative Control

    We incubated slices overnight with the blocking solution only and then processed them with the secondary antibody.

    Notes

    Passed. ABIN2669973 works in IHC-P with a microwave antigen retrieval pretreatment and concentration of 1:50.

    'Independent Validation' Badge
    Validation Images
    Full Methods
    Primary Antibody
    ABIN2669973
    Secondary Antibody
    goat anti-mouse AF594-conjugated (Invitrogen by Thermo Fisher Scientific, A11032, lot 819561)
    Full Protocol
    • Inject mouse intraperitoneally at the dose of 0.057mg/g body weight with IdU (Sigma, I7125) dissolved in sterile distilled water at final concentration of 100mg/ml, pH7.5.
    • Perfuse mouse with 4% paraformaldehyde in 0.1M phosphate buffer (PB) pH7.4 and post-fix samples in the same fixative for an additional 2h at RT.
    • Wash, dehydrate, and embed samples in paraffin wax.
    • Following several washes in PBS, cut intestines and brain with a microtome (6µm-thick sections) and mount sections on glass slides.
    • After paraffin removal, process sections by microwave antigen retrieval for 10min (95-100°C) in 10mM sodium citrate buffer pH6.0.
    • Let sections cool for 20min.
    • Wash sections 2x 5min with distilled water.
    • Wash sections 5min with PBS.
    • Incubate sections in PBS containing 1% albumin from chicken egg white (Sigma, A5378) and 0.3% Triton-X-100 (BioRad, 161-0407, lot 00583) for 1h at RT to block non-specific binding sites.
    • Incubate sections with primary antibody mouse anti-IdU (antibodies-online, ABIN2669973, lot W001) diluted 1:50 in PBS-BSA-PLL ON at 4°C.
    • Wash sections 3x 5min with 0.01M PBS.
    • Incubate sections with secondary goat anti-mouse AF594-conjugated (Invitrogen by Thermo Fisher Scientific, A11032, lot 819561) diluted 1:500 in 0.1M PBS for 1h at RT.
    • Wash sections 3x 5min with 0.01M PBS.
    • Mount sections in Fluoroshield (Sigma, F6182, lot MKCB0153V).
    • Acquire images with Leica DM 6000B fluorescence microscope equipped with the manufacturer’s FITC filter set and digital camera at magnifications of 20x and 40x. Parameters for image acquisition (Exposure 2.2s, Gain 2.3x, Saturation 1.5, Gamma 1.10) were maintained unchanged for all images.
    Experimental Notes

    For the incubation with the primary antibody ABIN2669973 and 1:20, 1:70, and 1:100 dilutions were also tested with 0.01M PBS, 5% Normal Goat Serum (NGS Sigma, G9023, lot SLBV1396) and 0.1% Triton-X -100 as the blocking solution, but 1:50 and PBS containing 1% albumin from chicken egg white and 0.3% Triton-X gave the best results.

  • Format

    Liquid

    Concentration

    4.54 mg/mL
  • Target

    IdU (Iododeoxyuridine (IdU))

    Alternative Name

    IdU
You are here:
Chat with us!